郑州全瓷牙要多少钱?全瓷牙是烤瓷牙修复更好的方法,修复牙齿缺损,变形,与变色的问题所达到的修复与美容效果,受到更多朋友的青睐。那么对于全瓷牙的价格,你知道多少呢?下面跟随郑州知名口腔科专家来了解一下!
中韩·唯美口腔专家介绍:全瓷牙略去了金属基底冠,使得全瓷牙消费者免除了金属过敏和牙龈黑线等问题的出现,对人体健康无任何毒副作用;透明度好,光泽度较佳;形态颜色更加自然逼真;与金属烤瓷牙相媲美的抗压强度,完全不必担心瓷崩裂的现象;磨牙较少,更大程度地保留自己的牙齿组织。全瓷牙的美观和易操作的手术程序使得人们对这门技术越来越关注,也越来越信赖。
郑州全瓷牙要多少钱?全瓷牙的价格并没有一个统一标准,是因为它受以下几个因素的影响:
一、全瓷牙的材料影响全瓷牙价格。全瓷牙主要有氧化锆、氧化铝、和铸瓷三种,不同的材料的全瓷牙,价格肯定是不一样的。哪种全瓷牙的材料适合你呢?点击在线咨询,直接与专家对话了解详情!
二、地区差异影响全瓷牙的价格。一般来讲,全瓷烤瓷牙有分国产和进口两种,而且还受到地区消费水平的影响。一般情况下,进口的全瓷牙会比国产的要贵,而消费水平高的地区自然会比消费较低的地区要高。
三、医院的收费标准影响全瓷牙的价格。每个医院在设备投入和服务水平上有所差距,这也导致了全瓷牙的价格有所差别。推荐阅读:3D全瓷牙
中韩·唯美口腔拥有的3D全瓷牙采用更高端的氧化锆材料,运用先进的CT三维数字扫描技术、电脑智能CAD/CAM系统设计,在短时间内根据患者的口腔条件、脸型、肤色,量身定做个性化全瓷牙修复美容方案。3D全瓷牙拥有完美的精密度;具有真牙相匹配的透光性,色泽逼真,可媲美自然牙;良好的生物相容性,对牙龈无刺激;强度绝佳,强度超出真牙,拥有卓越的咬合力量,无不良金属离子渗出,磨牙较少,更大程度地保留原有的牙齿组织,所以能达到更佳的美齿效果及与软组织的更舒适接触。点击在线咨询,了解全瓷牙的优惠活动!在线预约可享更多优惠!
中韩·唯美口腔牙齿美容专家推荐

艾西川,副主任医师,精湛技术:颌面外科、牙齿美容、1小时德国西诺德CAD/CAM3D齿雕全瓷修复。毕业于中国口腔著名学府——西安第四军医大学,原南京军区口外知名专家,郑州市口腔医院院长。从事口腔全科临床工作三十余年,对口腔内外科有丰富的临床经验,拥有万例成功案例。曾获市级科研成果奖两项,省级三项,多部专著被列为医大教材,在国内外知名刊物上发表专业论文20余篇,多次应邀参加国内外口腔大型研讨会,于口腔治疗方面有独到的治疗方法,深受客人好评。
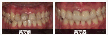
中韩·唯美口腔牙齿美容前后对比图

如果您觉得我们的文章没有解释的很清楚,或者还有其他疑问,您可以直接点击中韩·唯美口腔的在线咨询医生,我院专业咨询医生会给您耐心的,详细的解答,并给您一个满意的答复!
相关感兴趣文章
豫公网安备 41010502002633号
免责声明:本网站近期将进行改版,网站所有内容及图片不做为任何法律依据。如有违反或者侵权,请及时联系更改。
网站医疗信息仅供参考,不能作为诊断及医疗依据 本网站内容部分来源转载于网络,不能作为任何法律依据!
请注意时效性,望知悉。如有违反或者侵权,请及时联系更正。