欢迎进入郑州市金水区唯美口腔

郑州唯美口腔医院周年庆预约专家

郑州唯美口腔医院周年庆在线咨询

郑州唯美口腔医院周年庆免费咨询热线 0371-55019113

首页 > 郑州牙齿矫正 > 牙齿矫正 >
郑州唯美口腔医院

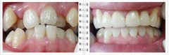
郑州做隐适美矫正需要多少钱

来源 :郑州唯美口腔医院        时间:2015-05-02 10:31 进入专家答疑区 在线咨询 | 预约专家
  郑州做隐适美矫正需要多少钱,随着大家对口腔健康意识的增强,很多爱美人士想通过牙齿矫正的方法来改善自己畸形的牙齿。对于都市白领而言,隐形牙齿矫正无疑是更好的选择,隐形牙齿矫正器是透明,不易让人看到,还可以随时摘下来清洗。隐适美矫正是隐形牙齿矫正方法的一种,那么,郑州做隐适美矫正需要多少钱?
 
  郑州唯美口腔专家介绍,隐适美适合牙齿完全萌出的患者,如牙齿不齐,牙间隙过大,颌面过窄或者曾佩戴传统牙套而移位的牙齿。除了在某些情况下加强口腔卫生之外,和佩带固定弓丝和托槽相比,佩戴隐适美可以让充满青春活力的生活方式得以轻松实现。由于矫正器可以自行摘戴。
 
郑州做隐适美矫正需要多少钱
 
  郑州牙齿矫正多少钱影响隐适美矫正需要多少钱因素如下:
 
  1、隐适美通过一系列透明的,可自行摘戴的无托槽隐形矫正器矫正您的牙齿,不使用牙套和托槽的金属弓丝,每两周更换一副的无托槽隐形矫治器,每个矫治器均在精确计算后逐个生产以便逐步将牙齿矫正到理想位置。当然,作为更新的技术,价格也是十分昂贵的。一般来说,完成全口牙的矫治一般会花费上万元。
 
  2、医生的专业技术和医院的医疗设备了,因为牙齿矫正价格不便宜,建议爱牙朋友们尽量选择好的医生,牙齿矫正是个长期的过程,一位好的医生可以决定此次牙齿矫正的效果好坏。
 
  3、就是患者所在地当地的物价水平,可以想象,如果同样的治疗,在不同地区进行的话,价格会相差很大。
 
  隐适美隐形矫正的过程?
 
  第1步:初诊:初诊时医生会和您讨论关于您牙齿的问题和您想得到的理想笑容。当您的医生评定您的情况符合使用Invisalign隐适美进行治疗,医生会设计出一套治疗计划。然后医生会采集您的牙齿印模并拍摄牙齿照片。
 
  第2步:高科技三维治疗方案:牙齿印模在经过数字处理后会由电脑生成一套三维治疗方案。并且可以看到在使用Invisalign隐适美治疗前,治疗过程中和治疗结束后的虚拟效果。
 
  第3步:自动生产先进的定做矫治器:根据医生的精确治疗方案,一套为您供每个疗程使用,具有先进科技含量的,量齿定做的无托槽隐形矫治器就会被生产出来。推荐阅读:牙齿矫正需多久复查一次
 
  第4步:每两周更换一套新的矫治器:除了在进食,喝水以及刷牙和用牙线清洗牙齿的时候,每天要佩戴至少22小时的矫正器,每两周更换一套新的矫治器,每6到8周进行复查。矫正时间一般是在12到18个月左右,每个牙弓大约需要20到30套矫治器。
 
  郑州做隐适美矫正需要多少钱?通过以上的介绍,想必大家也有了一定的了解。郑州口腔医院郑州唯美口腔专家提醒:为了不让自己受到创伤,请选择正规的口腔医院,找专业的隐形牙齿矫正专家。如果你对此还有什么疑问可以点击我院的在线咨询医生进行详细了解。
 

浏览本篇文章的网友

27%
选择了:郑州唯美口腔医院
在线医师坐诊,快速悉知病情!
39%
选择了:郑州唯美口腔医院
在线医师坐诊,快速悉知病情!
分享到:郑州唯美口腔医院
郑州唯美口腔医院

扫一扫
把郑州唯美
加为好友

郑州唯美口腔医院

相关感兴趣文章

14岁女孩一颗前牙矫正行吗?

14岁女孩一颗前牙矫正行吗?

网友咨询说,女儿今年14岁了,一颗前牙矫正行,但是因为牙齿还没换完的关系,不知道能...[详情]

带牙套多少钱一般

带牙套多少钱一般

大家应该都知道牙套是用来矫正牙齿的,有很多牙齿畸形的人却没有选择佩戴牙套,原因也...[详情]

隐形牙齿矫正有什么不良后果

隐形牙齿矫正有什么不良后果

隐形牙齿矫正有什么不良后果吗,整齐美观的牙齿,可以增加个人的魅力,提升气质。在如...[详情]

矫正牙齿多大年纪合适

矫正牙齿多大年纪合适

牙齿矫正是改善牙齿畸形最有效的方法,尤其现在的地包天、牙齿不齐、龅牙等这些常见的...[详情]

唯美品牌
郑州唯美口腔医院
  • 时间:10月20日
  • 摘要:唯美口腔加入郑州人民医院医疗集团
  • 地点:郑州唯美口腔
  • 详情 → 咨询 →
郑州唯美口腔医院
  • 时间:每周一、周五亲诊
  • 摘要:矫正专家亲诊
  • 地点:郑州唯美口腔
  • 详情 → 咨询 →
特邀专家

有牙齿困扰 在线找专家

专家热线:0371-55019113

专家团队
精彩专题
> 微创即刻种植牙
> 隐适美隐形矫正
> 360°彩光美白
> 超薄牙贴面
> 3D全瓷牙

豫公网安备 41010502002633号

免责声明:本网站近期将进行改版,网站所有内容及图片不做为任何法律依据。如有违反或者侵权,请及时联系更改。

网站医疗信息仅供参考,不能作为诊断及医疗依据 本网站内容部分来源转载于网络,不能作为任何法律依据!

请注意时效性,望知悉。如有违反或者侵权,请及时联系更正。