亲骨超导种植怎么样?牙齿缺失之后,口腔对食物的咀嚼能力下降,无疑增加了胃部的消化能力,给我们的身体带来诸多的麻烦。亲骨超导种植是种植牙技术中很好的一种方法,那么亲骨超导种植怎么样呢?
中韩唯美独家引进的亲骨超导即刻种植牙技术是采用普兰梅卡口腔全景机进行3D口腔CT成像,根据自身牙体骨骼或以自身骨组织系数来定制骨粉,比起传统的人造骨粉,更加精确无误,而且生物相容性更好、更稳定牢固、愈合更迅速。由于3D口腔CT成像的直接应用,使亲骨超导种植术大大的提高了,并象征着口腔种植领域的发展,迈出了革命性的一步。
亲骨超导种植技术的优势
1、CT定位:口腔三维CT精确定位、个性设计、安全可靠、确保无误。
2、生物相容:亲骨种植与自身牙体骨骼生物相容性极佳,大多数安全。
3、舒适美观:种植后和真牙一样舒适,没有异物感,颜色晶莹剔透,自然美观。
4、微创无痛:微创专利技术,几无痛苦,将创伤降低到近乎于0,不影响患者正常生活。推荐阅读:亲骨超导种植技术
5、稳定牢固:牙齿种植后牙体和骨骼相容,绝对稳固,绝无脱落、松动后顾之忧。点击在线咨询,了解种植牙的优惠活动!在线预约可享更多优惠!
中韩·唯美口腔牙齿种植专家推荐

徐雅轩,国内著名CAM/CAD修复专家,精湛技术:牙齿矫正、牙齿美容修复、1小时德国西诺德CAD/CAM3D齿雕全瓷修复。毕业于南京医科大学口腔专业,长期从事口腔种植临床工作,在部队三甲医院工作多年,拥有多年深厚的口腔种植与研究经验。曾应邀参加瑞士ITI种植培训、德国西诺德3D齿雕培训,并出任多国种植集团特邀医师。其娴熟的种植技术和丰富的临床经验有机结合,注重从顾客的角度为出发点制定治疗方案,行医严谨,待人真诚,让广大缺牙顾客重新拥有完美的牙齿,深得顾客好评。
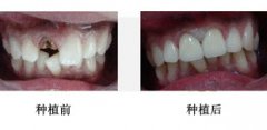
中韩·唯美口腔牙齿种前后对比图

如果您觉得我们的文章没有解释的很清楚,或者还有其他疑问,您可以直接点击我们的在线咨询医生,中韩·唯美口腔专业咨询医生会给您耐心的,详细的解答,并给您一个满意的答复!
豫公网安备 41010502002633号
免责声明:本网站近期将进行改版,网站所有内容及图片不做为任何法律依据。如有违反或者侵权,请及时联系更改。
网站医疗信息仅供参考,不能作为诊断及医疗依据 本网站内容部分来源转载于网络,不能作为任何法律依据!
请注意时效性,望知悉。如有违反或者侵权,请及时联系更正。