很多人的牙齿出现各种各样的畸形现象,给生活造成很多不便,牙齿矫正是改善牙齿畸形的重要手段之一,矫正手术过程中,需要很多客观条件的配合,才能保证手术成功进行,那么矫正牙齿中的注意事项有哪些?
牙齿矫正是一项不小的手术,需要很多注意的事情,一般情况下,矫正牙齿中的注意事项:
:固定矫正器是通过特殊材料粘结在牙齿上的,其中两到五天里,牙齿可能因受力而感到酸痛。口腔粘膜也可能被矫治器擦伤,但这些都是能忍受和预防的,而且一个星期后会自动消失,一般不需要吃药,以后每次复诊后患者也许会感觉牙齿发紧、疼痛,但很轻微,相反,剧烈疼痛则是不正常的。
第二:戴上矫治器后能刷牙,而且要更仔细,一定要注意口腔卫生、正确的刷牙方法。
第三:矫治牙齿不会影响吃饭。吃的方面也要注意,太硬、太粘的食物会将矫治器损坏或致其脱落,从而影响治疗效果。
第四:矫治器安置好后,一般一个月复诊一次。了解更多牙齿矫正,点击在线咨询,直接与专家相互交流,详细咨询!
第五:治疗将近结束时,根据患者情况制作保持器,以保持所取得的矫治效果,只要坚持配戴,一般不会复发。
中韩·唯美口腔牙齿矫正技术推荐
中韩·唯美口腔率先引进的韩式四维隐形正畸技术继承了传统的牙颌畸形矫治的理念,是现代口腔医学、计算机辅助四维诊断、个性化设计及数字化成型技术的完美结合,是正畸领域的新突破。韩式四维隐形正畸由知名专家坐诊,实现全程无痛无创快速疗法,专门治疗各种牙齿排列不整齐,咬合错位等牙齿形态问题,还你一口整齐、坚固耐用的健康原牙。推荐阅读:韩式隐形正畸
中韩·唯美口腔牙齿矫正专家推荐

李玉如,口腔正畸科。副教授,副主任医师,硕士生导师,口腔医学正畸专业硕士。1991年毕业于中山医科大学口腔系,一直从事口腔正畸的临床、教学和科研工作,临床经验丰富,并注重知识的学习更新,2004年硕士学位毕业。擅长正畸科各类牙颌畸形及疑难病例的矫治,对青少年反牙合、开牙合、功能性矫治、阻生牙的导萌牵引及成年人牙颌畸形、牙周病的正畸治疗有良好的疗效。点击在线咨询,了解牙齿矫正的优惠信息!在线预约可享更多优惠!
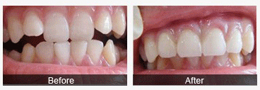
中韩·唯美口腔牙齿矫正前后对比图

温馨提示:以上内容是关于矫正牙齿过程中的注意事项的介绍,希望对大家有所帮助,更多疑问,点击在线咨询,由知名专家给您做详细的解答,中韩·唯美口腔是一家正规的专业口腔医院,是您矫正牙齿的更佳选择!
相关感兴趣文章
豫公网安备 41010502002633号
免责声明:本网站近期将进行改版,网站所有内容及图片不做为任何法律依据。如有违反或者侵权,请及时联系更改。
网站医疗信息仅供参考,不能作为诊断及医疗依据 本网站内容部分来源转载于网络,不能作为任何法律依据!
请注意时效性,望知悉。如有违反或者侵权,请及时联系更正。