欢迎进入郑州市金水区唯美口腔

郑州唯美口腔医院周年庆预约专家

郑州唯美口腔医院周年庆在线咨询

郑州唯美口腔医院周年庆免费咨询热线 0371-55019113

网站首页 > 郑州牙齿种植 >
郑州唯美口腔医院

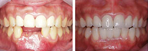
对比才知道——种植牙好在哪?

来源 :郑州唯美口腔医院        时间:2016-06-09 11:15:19 进入专家答疑区 在线咨询 | 预约专家
  牙齿缺失,可以选择的修复方式有很多:活动义齿、固定义齿、种植牙等。但对于不了解情况的患者朋友来说,选择越多,困扰越多,很可能盲目选择不适合自己的修复方式。今天唯美口腔专家给大家详解一下它们的优缺点:郑州牙科医院
  
  活动义齿:  
  此种修复方法历史悠久,适用范围广泛,可用于各种牙列缺损,费用较低,患者可自行摘戴。镶牙过程中对真牙的切磨较少,制作方便,易于清洁。
  
【直接对话在线专家 一对一咨询】
  【缺点:】  
  1.骨吸收加快:活动义齿本身无牙根,咀嚼时受力不均,稳定性和咀嚼效率低。  
  2.损伤临牙:其治疗原理与固定义齿相似,损害临牙,容易造成牙齿连带缺失的状况。  
  3.满意度低:活动义齿的卡环和基托使口腔内常有异物感,容易引起恶心,还可能影响发音。据苏州微创种植牙技术研究院的调查数据显示,活动义齿镶复一年后,20%人不再使用它,60%人不满意。  
  4易发生龋病:使用过程比较麻烦,需要每天摘戴、清洗,容易造成牙龈和粘膜组织损伤、龋病及牙周炎。更伴随牙槽骨吸收,颞下颌关节疾患等不良后果。
  
  固定义齿:  
  置于口腔内患者不能自行摘戴的假牙,能在一定限度上恢复患者的口腔功能;适合个别牙缺失的情况;制作周期短,大约一周左右。
  
【专家在线为您详细解答】
  【缺点:】  
  1.对基牙的损伤:这种传统的镶牙方法需要向与缺牙相邻的两颗健康牙齿“借力”,搭起一座“桥”来支撑假牙。这样就需要对相邻牙体进行较大磨损,使之成为“桥墩”。在进食时,由于假牙没有牙根,假牙所承受的咀嚼压力都会传递到烤瓷桥的两端,加重“桥墩”负担。久而久之,拖累牙桥两端原本健康的牙齿,相继出现更多问题。  
  2.修复设计受限:对全口缺牙的患者,游离端缺牙,缺牙间隙两侧牙支持力不足不能承担咬合力时,固定义齿将无法满足要求。
  
  种植牙:  
  基于以上修复方式存在种种弊端,种植牙应运而生成为新的修复趋势。微创即刻种植技术就是将高科技人工合成材料制成的种植体一端植入缺失区的牙槽骨内,即种植体;另一端暴露于口腔,在暴露端制作形态逼真的假牙,即牙冠。  
  微创即刻种植技术的手术很小并且安全,无需住院。因其不具破坏性,种植牙已被口腔医学界公认为缺牙的首选修复方式。

郑州唯美口腔微创种植专家【咨询预约通道】
  
  【优点:】  
  1.稳固牢靠。种植牙独有的植入式治疗方法能让义齿与牙槽骨紧密结合,方便耐用,使用寿命长;  
  2.安全持久,不损伤邻牙。种植牙不像天然牙齿,不受龋病、牙周病困扰,能最大限度恢复患者的口腔功能,防止牙槽骨吸收。  
  3.舒适美观。种植牙能达到整体协调自然的效果。舒适感好,没有活动假牙的基托和卡环,没有味觉迟钝与不适感。使用时感觉与自然牙完全相同,不用担心咀嚼食物,说话时假牙脱落。  
  4.使用范围广:扩大了固定修复的适应征,游离端缺失,牙周病患者余留牙条件差不适合固定修复的患者。  
  5.能维持牙槽骨骨量,与活动义齿相比,骨吸收降低20倍;种植后2个月咬合力恢复85%左右,3年,可达300%;咀嚼效率与天然牙相当。
  
  【缺点:】  
  1.因时间长一般需4-6月,成本比较高,所以费用也较高;  
  2.有些人对植牙手术有一定恐惧感。实际上大可不必,除特殊情况,比如需植骨的手术较复杂一些外,对于骨量足者,种牙手术与拔牙手术损伤程度差不多。

郑州唯美牙科医院温馨提醒:如果您还有其他疑问,可以拨打唯美爱牙热线:0371--60318899点击 在线咨询 专家会为您做详细的解答!在这里您将得到想要的蜕变答案,而且专家会根据您的实际情况为您推荐更好的治疗方案并为您申请相关的优惠。郑州唯美口腔竭诚为您服务!

浏览本篇文章的网友

27%
选择了:郑州唯美口腔医院
在线医师坐诊,快速悉知病情!
39%
选择了:郑州唯美口腔医院
在线医师坐诊,快速悉知病情!
分享到:郑州唯美口腔医院
郑州唯美口腔医院

扫一扫
把郑州唯美
加为好友

郑州唯美口腔医院

相关感兴趣文章

郑州种植牙齿需要多长时间

郑州种植牙齿需要多长时间

郑州种植牙齿需要多长时间,牙齿一旦出现缺失的情况,对我们的工作和生活都会造成一定的影......[详情]

郑州种植牙医院哪家比较好

郑州种植牙医院哪家比较好

郑州种植牙医院哪家比较好,日常生活中,由于龋齿、牙周病、意外事故等因素可导致牙齿缺失......[详情]

郑州导致种植牙松动的原因是什么

郑州导致种植牙松动的原因...

导致种植牙松动的原因是什么,牙齿缺失该怎么办?做种植牙吧,种植牙是目前比较常用的牙齿......[详情]

郑州哪家医院做种植牙好

郑州哪家医院做种植牙好

郑州哪家医院做种植牙好,在日常生活中,由于意外事故或者口腔疾病等原因,可导致牙齿缺失......[详情]

唯美品牌
郑州唯美口腔医院
  • 时间:10月20日
  • 摘要:唯美口腔加入郑州人民医院医疗集团
  • 地点:郑州唯美口腔
  • 详情 → 咨询 →
郑州唯美口腔医院
  • 时间:每周一、周五亲诊
  • 摘要:矫正专家亲诊
  • 地点:郑州唯美口腔
  • 详情 → 咨询 →
特邀专家

有牙齿困扰 在线找专家

专家热线:0371-55019113

专家团队
精彩专题
> 微创即刻种植牙
> 隐适美隐形矫正
> 360°彩光美白
> 超薄牙贴面
> 3D全瓷牙

豫公网安备 41010502002633号

免责声明:本网站近期将进行改版,网站所有内容及图片不做为任何法律依据。如有违反或者侵权,请及时联系更改。

网站医疗信息仅供参考,不能作为诊断及医疗依据 本网站内容部分来源转载于网络,不能作为任何法律依据!

请注意时效性,望知悉。如有违反或者侵权,请及时联系更正。