“种”出好牙,享尽“舌尖上的中国”!看了舌尖上的中国后,想必很多人都开始讨论吃的话题,恨不得马上带家人去享用,但并不是所有人都有这个口服。让自己的家人,尤其是父母能安逸的晚年是子女更大的信誉。据调查发现,老年人受牙齿疾病的困扰,生活质量远远不及他们年轻时候的水平。
四年前,刘阿姨牙齿出现缺失的情况,得已只好装上了假牙套,原本以为装上假牙后,便可以正常的吃东西,然而,让她没有想到的是,生活质量反而大打折扣。“自从装上假牙后,每次吃饭过后都要刷牙,要洗洗弄弄,而且咬东西也不是很顺畅,特别是蔬菜类的,牵牵拉拉的不容易咬断,而且咬东西也不是很顺畅。咀嚼功能依然没有得到很好的恢复。本该是安享晚年的时候,却连基本的饮食都成困扰。
种植牙好吗?刘阿姨听说种植牙齿能解决她的牙病困扰,于是四处打听,甚至到各个医院去了解。但当她了解到做种植牙手术需要把牙肉切开然后重新缝合后,却吓得不敢去做手术,内心十分恐惧。刘阿姨女儿朋友的母亲曾在郑州唯美口腔做过种植牙,说术后效果非常好,采用的是微创无痛即刻种植牙,在全郑州都没有其他医生具备这种精细的种植牙技术。在女儿的说服下,刘阿姨来郑州唯美口腔咨询。来到郑州唯美口腔看医生的时候,刘阿姨的牙齿仅剩一颗虎牙和一颗小门牙,其余的牙齿全部已经拔除了。医生通过西诺德口腔CT对刘阿姨的口腔进行全面检查,诊断牙槽骨情况,定位种植牙位置。

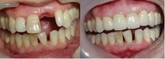
专家说,对于整个下巴仅仅只有两颗牙的患者,如果采用传统种植方式的话,几乎要切开下颌整个牙龈。在经过术前缜密的检查及详细的沟通之后,专家为刘阿姨生制定了微创无痛即刻种植牙治疗方案。经过一个半小时的手术时间后,刘阿姨的种植牙手术结束。当问及手术后感觉如何时,刘阿姨说:“手术后感觉稍微有点胀,有一点点疼,但在一般人都能忍受的范围之内,我年纪大了也能忍受。”专家用全景机对刘阿姨口腔进行了360°全景拍片。刘阿姨坐在仪器前清晰地看到了自己原本只剩下两颗牙的下颌,术前戴着假牙套进行种植牙定位、定点的片子,到更终种植牙手术完成后的效果。在口腔全景机的辅助下,刚种植好的7颗牙齿被放大后清晰地呈现在刘老先生眼前,术后效果让刘阿姨大为感叹,差点连他自己也分不出那两颗是自己原有的牙齿了。
手术后的晚餐,刘阿姨就啃起了鸡腿,种植牙像真牙一样,并没有任何不适感,而且过去不能吃的东西,现在都能吃了。胃口变得好了,心情也变得开朗起来,老朋友们都羡慕我有一口好牙齿。在刘阿姨做完种植牙手术后,郑州唯美口腔的医护人员对她进行了定期的回访,询问术后情况,并提醒她及时来院复诊。
在经过4个月之后,刘阿姨的牙齿恢复得非常好,没有出现任何的不适感,并且饮食完全无障碍,与自己的真牙没有什么区别,这让她高兴不已。刘阿姨笑称:是郑州唯美口腔让她拥有了人生的第三副牙齿,让她可以在晚年也能像年轻时一样大口吃肉,生活变得更精彩。刘阿姨说他很享受现在的生活,做完种植牙后吃什么都香了。刘阿姨脸上流露的笑容是自内而外的,因为种植牙让她彻底摆脱了缺牙的痛苦。推荐阅读:种植牙齿多少钱一颗
微创即刻种植技术以微创性、即刻性、精细性成为种植牙金标准,系统主要有四大核心。
一是“快”:拔牙的同时一次性植入,即拔即种,手术过程快速,坚固一次性成型。
二是“准”:引进设备,把握种植角度、深度、吻合,实现精确植入无缝对接牙床。
三是“精”:注重植入过程,精细每个细节,精确每个患者的牙床特质,一气呵成。
四是“微”:讲究植入精细性,只需几毫米的微小切口,将创伤降到更低,出血少。
微创即刻种植牙自引入郑州以来受到市民的高度认可,其核心的技术优势和品牌背景,赢得了市民的信赖和肯定,很多患者都是通过老客户推荐的。就种植牙费用相对较高的问题,郑州口腔医院郑州唯美口腔专家表示:“很多人会说,种植牙太贵了,宁愿做烤瓷牙甚至戴牙套。其实,单看单价种植牙不占优势,但是种植牙的使用年限长达40年以上,保护得当完全可以受用终身。而看似便宜的活动假牙容易磨损,基本上3年就要换一副,而且使用效果差对口腔及健康造成较大的伤害。
相关感兴趣文章
豫公网安备 41010502002633号
免责声明:本网站近期将进行改版,网站所有内容及图片不做为任何法律依据。如有违反或者侵权,请及时联系更改。
网站医疗信息仅供参考,不能作为诊断及医疗依据 本网站内容部分来源转载于网络,不能作为任何法律依据!
请注意时效性,望知悉。如有违反或者侵权,请及时联系更正。