欢迎进入郑州市金水区唯美口腔

郑州唯美口腔医院周年庆预约专家

郑州唯美口腔医院周年庆在线咨询

郑州唯美口腔医院周年庆免费咨询热线 0371-55019113

首页 > 郑州牙齿矫正 > 郑州成人矫正 >
郑州唯美口腔医院

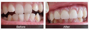
龅牙矫正后脸型对比

来源 :郑州唯美口腔医院        时间:2015-10-10 14:04 进入专家答疑区 在线咨询 | 预约专家
  龅牙矫正后脸型对比,虎牙,龅牙,如果长期不矫正的话,不仅仅会影响到个人美观,也会对口腔带来很多问题,所以选择牙齿矫正是更为合适的方法,很多人不太确信矫正能够彻底恢复牙齿整齐的情况,那么让郑州唯美口腔专家来给我们展示一下龅牙矫正后脸型对比吧!
  郑州牙齿矫正,一、正畸过程轻松舒适: 技术使用的超弹性TI-NI合金线,具有高度的生物亲和性,对牙齿本身具有很好的融合性,不会因为施力对牙齿带来伤害,医生容易操作,患者不适感大大减少。此外,LH正畸魔线应力中断性优良,牙齿彼此牵制时产生的振荡波可迅速被对应的矫正线完全吸收,对牙周和临牙几乎没有影响,因此,患者在接受正畸治疗时将不必再受疼痛之苦,整个正畸过程更舒适轻松。
 
  二、正畸诊疗简单快捷: LH魔线正畸还具有一线到底、多管齐下的治疗特点。他解释到:因为LH技术TI-NI合金线的独特功能,因此一般情况下,整个正畸过程只需使用一条正畸线,医师不必中途换线,这样医生操作简单快捷,患者感觉舒适轻松。此外,采用LH魔线正畸,医生还可以将原来需要分阶段进行的牙列排齐、扩弓、关闭间隙、调咬合、转矩控制等多种治疗在同一时间合并进行;医生可将牙齿排列整齐、犬齿后移同时进行,待犬齿退到理想的位置后,又可以将前牙后缩、理想牙弓同时进行,使治疗过程更简单快捷,相比传统正畸法可省下八个月到一年的治疗时间,让患者能在更快的时间里取得理想的正畸效果。
 
  三:正畸效果安全稳定: 在谈到正畸效果时,LH超弹性钛镍合金线不仅质地柔软,不伤害牙齿和牙周组织,而且还具有独特的记忆形状功能,可根据不同患者具体的口腔环境、颌面状况,提供更适合的恒定力量,以建立更适合个人正常咬合的牙齿排列形状,使得治疗过程不仅简单便捷、合乎生理而且正畸成果更加安全稳定,有效地避免了人们因为正畸效果反弹重新复诊的繁琐劳累。
推荐阅读>>>>
虎牙矫正的更好方法
  郑州更有知名口腔医院地址,需要了解更多口腔资讯有任何口腔问题欢迎到来唯美牙科进行咨询。郑州唯美口腔医院是一家化口腔私人诊所,是中原地区口腔专业机构。集预防、保健、治疗、修复为一体,与韩国、等国家和地区的口腔医疗单位建立了良好的学术交流与技术合作关系。诊疗范围有:牙齿种植、牙齿修复、牙齿美容、牙齿矫正、牙齿治疗、口腔预防及保健。
 
  牙齿矫正价钱,温馨提示:如果您有其他的问题,可点击在线咨询,与郑州唯美在线专家一对一交流,如果有来院的意愿,可先在网上进行挂号,凭号到院免排队,优先就诊。

浏览本篇文章的网友

27%
选择了:郑州唯美口腔医院
在线医师坐诊,快速悉知病情!
39%
选择了:郑州唯美口腔医院
在线医师坐诊,快速悉知病情!
分享到:郑州唯美口腔医院
郑州唯美口腔医院

扫一扫
把郑州唯美
加为好友

郑州唯美口腔医院

相关感兴趣文章

成人牙齿矫正晚不晚

成人牙齿矫正晚不晚

成人牙齿矫正晚不晚 ?有没有一种健康简便的牙齿矫正方法,让成人一样可以拥有健康整洁...[详情]

25岁牙齿矫正要多久

25岁牙齿矫正要多久

25岁牙齿矫正要多久?25岁,许多朋友要么在这这个时间开始事业的转折,要么刚刚完成学...[详情]

成人牙齿整形需要多少钱

成人牙齿整形需要多少钱

成人牙齿整形需要多少钱?对畸形牙齿进行整形,不只是一种对时尚的追求,更大的利处是...[详情]

牙齿矫正用的托槽有哪些种类

牙齿矫正用的托槽有哪些种类

牙齿矫正用的托槽有哪些种类 ?随着人们对形象的高度重视,牙齿美观也成为人们考量形象...[详情]

唯美品牌
郑州唯美口腔医院
  • 时间:10月20日
  • 摘要:唯美口腔加入郑州人民医院医疗集团
  • 地点:郑州唯美口腔
  • 详情 → 咨询 →
郑州唯美口腔医院
  • 时间:每周一、周五亲诊
  • 摘要:矫正专家亲诊
  • 地点:郑州唯美口腔
  • 详情 → 咨询 →
特邀专家

有牙齿困扰 在线找专家

专家热线:0371-55019113

专家团队
精彩专题
> 微创即刻种植牙
> 隐适美隐形矫正
> 360°彩光美白
> 超薄牙贴面
> 3D全瓷牙

豫公网安备 41010502002633号

免责声明:本网站近期将进行改版,网站所有内容及图片不做为任何法律依据。如有违反或者侵权,请及时联系更改。

网站医疗信息仅供参考,不能作为诊断及医疗依据 本网站内容部分来源转载于网络,不能作为任何法律依据!

请注意时效性,望知悉。如有违反或者侵权,请及时联系更正。