如何矫正地包天,地包天的形成是由于各种各样的原因,地包天严重影响着人们的生活,现在牙齿矫正技术的不断发展,很多患者都会选择地包天矫正,地包天矫正需要多少钱?下面听听郑州唯美口腔医院的介绍。

影响地包天矫正的价格因素
1、地包天矫正方法
患者在治疗地包天现象时,选择的地包天矫正方法不同,费用也自然不一样。目前,地包天矫正的方法有:隐形矫正、美容冠矫正、普通矫正等。患者一定要先到正规的口腔医院让口腔专家根据你的地包天情况做方案。
2、口腔情况
在进行地包天矫正时,口腔专家会给你做口腔全面检查,如果患者口腔还有其他问题,必须先将其他口腔问题治疗,在进行地包天矫正,如果口腔良好的患者,是可以直接进行地包天矫正的。
3、医院的选择
同一家口腔医院,技术好的医院在治疗费用上要高一些,治疗地包天需要口腔医生拥有精湛的医疗技术还要有很好的审美理念。所以,很多患者在这一环节上即便是费用要高一些,还是会选择好的医生。
地包天矫正的方法有哪些?
1、儿童地包天矫正方法——活动矫治器
儿童地包天矫正可以采用活动矫治器来进行矫正,儿童地包天矫正更佳时间在4-7岁左右,这个时期真是面部颌发育时期,矫正的难度较小,这个时期治疗的时间短,方法简单,费用也相对偏低。但有的是遗传性地包天现象,所以要进行二期矫正,一般矫正时间在6到12岁,不过次乳牙期的矫治很好地促进了二期治疗的效果。
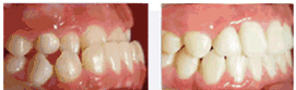
2、成年人地包天矫正方法——美容冠
成年人地包天的难度比较大,传统的牙齿矫正发不能满足大家的需求,而且矫正时间也很长,不仅影响生活,还影响到患者工作,因此建议大家采用美容冠技术来进行修复,美容冠是升级版的烤瓷牙,采用了上乘的技术和全瓷材料,在矫正牙齿的时候可以根据个人制定个性化的方案,美容冠矫正时间短,仅仅7天时间,就能对抗你的地包天现象,修复后的牙齿坚固耐用,效果美观自然。
郑州唯美3d仿生美容冠,引进全新牙冠修复技术,采用上乘仿生全瓷材料,中韩专家联袂亲诊,个性化定制美牙方案,纯自然光牙色对比,为快速矫正成人畸形牙提供多种修复方案,效果美观自然,坚固耐用。
如何矫正地包天,以上就是对“如何矫正地包天”的简单介绍,如还有什么疑问,可点击我们的在线咨询,我们的专家将为您提供详细的解答。
相关感兴趣文章
豫公网安备 41010502002633号
免责声明:本网站近期将进行改版,网站所有内容及图片不做为任何法律依据。如有违反或者侵权,请及时联系更改。
网站医疗信息仅供参考,不能作为诊断及医疗依据 本网站内容部分来源转载于网络,不能作为任何法律依据!
请注意时效性,望知悉。如有违反或者侵权,请及时联系更正。