郑州牙齿矫正哪家更好?求医问药做手术,找个好医院更重要!牙齿不齐不仅影响咀嚼效果,日常饮食会加重胃的负担;而且还影响着个人的形象,交往中给别人留下不好的印象。日常交往,形象的好坏至关重要,往往决定着双方的关系发展。因此,患上牙齿不齐,就要及时去矫正,当然一定要到正规的、专业的口腔医院,这样矫正效果才有保证。那么,郑州牙齿矫正哪家更好?
郑州牙齿矫正哪家更好?好的医院自然是众口相传,人人称赞,口碑良好。中韩·唯美口腔是郑州牙科医院牙齿矫正更好的,我们一直努力的追求就是患者的认可和满意。来到唯美口腔,你享受到的是我们更真诚的的、舒心的服务,感受回到家里的温暖,这也正是我们的初衷,打造成您的私人牙医。我们始终坚持着自己的特色,我们拥有一系列的优势!
中韩·唯美口腔医院的优势:
一、中韩·唯美口腔医院一直以患者为根本,贴切治疗,为患者提供更全面的诊疗方案。在提供每道诊疗之前,患者要经过严格的口腔X-ray全景片拍摄检查,更终研究制出符合个人特色的牙齿诊疗方案。
二、通过每年郑州地区牙防所调查问卷可以得知,中韩·唯美口腔医院由于专业性、专注性及专一性,被广大患者一致好评。其临床高达99.6%,成为更受欢迎的郑州牙科医院。
三、专家团队,专业负责。口腔专家组成的知名口腔治疗团队,定期邀请国内外专家坐诊交流,拥有丰富的治疗经验,以丰富的临床经验、先进的治疗技术打动每个前来看牙的市民。想要了解更多医院信息,点击在线咨询,和专家详细交谈,深入了解!
四、严格把控,消毒过关。严格执行消毒规范,保证医疗器械的安全健康,每天下班之后诊室开展关闭消毒,保障每位患者都能够用上无菌安全的医疗器械。
中韩·唯美口腔技术推荐
中韩·唯美口腔率先引进的韩式四维隐形正畸技术继承了传统的牙颌畸形矫治的理念,是现代口腔医学、计算机辅助四维诊断、个性化设计及数字化成型技术的完美结合,是正畸领域的新突破。韩式四维隐形正畸由知名专家坐诊,实现全程无痛无创快速疗法,专门治疗各种牙齿排列不整齐,咬合错位等牙齿形态问题,还你一口整齐、坚固耐用的健康原牙。
韩式四维隐形正畸技术是完全个性化的设计理念,可根据正畸者的情况佩带不同的矫治器,完全不影响正畸者的生活。具有隐形高效,稳定美观的特点,并且大大地缩短了疗程,使治疗时间缩短近三分之一,复诊时间缩短二分之一,为正畸者大大节省了时间,透明韩式四维隐形正畸矫正矫治器厚度不到1mm,透明、光滑、舒适,无异物感和粘膜刺激,是目前更受欢迎和信赖的美齿项目。推荐阅读:韩式隐形正畸
中韩·唯美口腔牙齿矫正专家推荐

李玉如,口腔正畸科。副教授,副主任医师,硕士生导师,口腔医学正畸专业硕士。1991年毕业于中山医科大学口腔系,一直从事口腔正畸的临床、教学和科研工作,临床经验丰富,并注重知识的学习更新,2004年硕士学位毕业。擅长正畸科各类牙颌畸形及疑难病例的矫治,对青少年反牙合、开牙合、功能性矫治、阻生牙的导萌牵引及成年人牙颌畸形、牙周病的正畸治疗有良好的疗效。点击在线咨询,了解牙齿矫正的优惠信息!在线预约可享更多优惠!
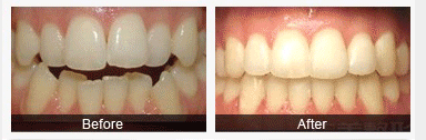
中韩·唯美口腔牙齿矫正前后对比图

温馨提示:如果您还有想要了解的情况,可以点击我们中韩·唯美口腔的在线咨询,我们的在线专家会给您更专业,更详细的解答,或是拨打我们的24小时美牙咨询热线0371-60318899 ,与专家一对一详解。
相关感兴趣文章
豫公网安备 41010502002633号
免责声明:本网站近期将进行改版,网站所有内容及图片不做为任何法律依据。如有违反或者侵权,请及时联系更改。
网站医疗信息仅供参考,不能作为诊断及医疗依据 本网站内容部分来源转载于网络,不能作为任何法律依据!
请注意时效性,望知悉。如有违反或者侵权,请及时联系更正。