牙齿矫正可以达到哪些治疗目的?个人形象在人们的交往中越来越重要,特别是交谈过程中,一口整齐美观的牙齿显得很重要,很多爱美人士喜欢通过牙齿矫正来改善牙齿,达成心愿,那么牙齿矫正可以达到哪些治疗目的?
牙齿矫正是指藉由矫正装置来改善颜面骨异常之发育和重新调整不整齐的牙齿,进而达到下列之治疗目的:
一、恢复咀嚼功能,进而帮助消化及营养吸收。
二、口腔卫生容易维护,间接可以预防龋齿及牙周病。
三、恢复脸形的美观,恢复自信心,并获得人格正常发展。
四、发音正确,增加学习的效果。了解更多牙齿矫正,点击在线咨询,与专家直接交流,详细询问!
五、嘴唇的闭合及齿列的完整,避免口腔粘膜干燥及增进对感染的抵抗。
中韩·唯美口腔牙齿矫正技术推荐
韩式四维隐形正畸技术是完全个性化的设计理念,可根据正畸者的情况佩带不同的矫治器,完全不影响正畸者的生活。具有隐形高效,稳定美观的特点,并且大大地缩短了疗程,使治疗时间缩短近三分之一,复诊时间缩短二分之一,为正畸者大大节省了时间,透明韩式四维隐形正畸矫正矫治器厚度不到1mm,透明、光滑、舒适,无异物感和粘膜刺激,是目前更受欢迎和信赖的美齿项目。推荐阅读:韩式隐形正畸
中韩·唯美口腔牙齿矫正专家推荐

李玉如,口腔正畸科。副教授,副主任医师,硕士生导师,口腔医学正畸专业硕士。1991年毕业于中山医科大学口腔系,一直从事口腔正畸的临床、教学和科研工作,临床经验丰富,并注重知识的学习更新,2004年硕士学位毕业。擅长正畸科各类牙颌畸形及疑难病例的矫治,对青少年反牙合、开牙合、功能性矫治、阻生牙的导萌牵引及成年人牙颌畸形、牙周病的正畸治疗有良好的疗效。点击在线咨询,了解牙齿矫正的优惠信息!在线预约可享更多优惠!
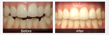
中韩·唯美口腔牙齿矫正前后对比图

温馨提示:通过以上内容的阅读,相信大家对牙齿矫正的好处有些了解,想要知道更多关于矫正的知识,可以点击我们的在线咨询,与专家相互交流,中韩·唯美口腔是一家正规、高档的口腔医院具有先进一流的诊疗设备,专业知名的知名医生,实施无痛治疗,满足患者要求,以服务顾客为。中韩·唯美口腔真诚欢迎您的咨询和就诊。
相关感兴趣文章
豫公网安备 41010502002633号
免责声明:本网站近期将进行改版,网站所有内容及图片不做为任何法律依据。如有违反或者侵权,请及时联系更改。
网站医疗信息仅供参考,不能作为诊断及医疗依据 本网站内容部分来源转载于网络,不能作为任何法律依据!
请注意时效性,望知悉。如有违反或者侵权,请及时联系更正。