更佳的整牙年龄是什么时候,爱美是没有年龄限制的,整牙追求美牙更是没有年龄限制的。但是很多人都在关注整牙年龄,关于整牙年龄,郑州唯美口腔医院专家介绍说。

郑州更好的牙科医院整牙年龄多大非常好?
如果已经错过了青年时期的很好整牙年龄矫正时期,18岁以后还可以进行成人整牙,成年人的生长发育虽然已经结束,但并不能说就一定过了很好整牙期。成人出现牙齿畸形可以通过成人整牙恢复咀嚼、语言、颞下颌关节的功能,使颜面美观。
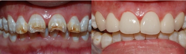
郑州唯美口腔医院专家推荐3D仿生美容冠推荐阅读:牙列拥挤该怎么去治疗?
郑州唯美3d仿生美容冠,引进全新牙冠修复技术,采用上乘仿生全瓷材料,中韩专家联袂亲诊,个性化定制美牙方案,纯自然光牙色对比,为快速矫正成人畸形牙提供多种修复方案,效果美观自然,坚固耐用。
郑州唯美口腔医院是一家化高端口腔私人会所,是中原地区数字化口腔专业机构,是以牙齿种植、牙齿美容、牙齿修复、牙齿矫正、牙齿正畸治疗、口腔治疗、口腔保健预防为特色的知名口腔美容医疗机构,全国口腔医学会会员单位,中韩合作种植牙基地,口腔生态美学指定单位。
更佳的整牙年龄是什么时候,如果您对以上的内容,还有任何不明白的地方,欢迎点击在线咨询,与专家进行一对一交流,同时网上咨询预约,还可享免挂号费,无需排队优先就诊服务。
相关感兴趣文章
豫公网安备 41010502002633号
免责声明:本网站近期将进行改版,网站所有内容及图片不做为任何法律依据。如有违反或者侵权,请及时联系更改。
网站医疗信息仅供参考,不能作为诊断及医疗依据 本网站内容部分来源转载于网络,不能作为任何法律依据!
请注意时效性,望知悉。如有违反或者侵权,请及时联系更正。