牙齿健康是我们日常饮食生活的重要组成部分,而饮食消化保障着我们正常工作和生活所需的能量,可是长期的不良习惯,很多人的牙齿出现排列不整齐的现象,给我们的生活造成影响,那么牙齿不齐有哪些严重性?
牙科的牙齿矫正治疗,主要是检查、预防和矫正牙齿的不正常咬合或咬合上的缺陷,也就是说,当上、下颌骨闭合时,上、下牙床的牙齿不能恰当地对合,就需要接受牙齿矫正的治疗。
首先,我们牙齿的健康依赖于每一个牙齿的正常发育、适当的位置和有效的功能。进一步来说,不规则的牙齿在说话时会干扰舌头的运动。若养成这种不正确的说话习惯后,就很难再纠正过来。
其次,若一颗或多颗牙齿排列不规则,或者先天及后天的颌骨位置不正常,则会造成其它牙齿进一步的移位。更后会因牙齿周围组织受到伤害而导致牙齿松动和脱落。了解更多牙齿矫正,点击在线咨询,与专家直接交流,详细询问!
更后,对牙齿本身来说,排列不正又会使其因清洗困难而很难保持本身的清洁,当然更难保它不会发生蛀牙了。
中韩·唯美口腔牙齿矫正技术推荐
韩式四维隐形正畸技术是完全个性化的设计理念,可根据正畸者的情况佩带不同的矫治器,完全不影响正畸者的生活。具有隐形高效,稳定美观的特点,并且大大地缩短了疗程,使治疗时间缩短近三分之一,复诊时间缩短二分之一,为正畸者大大节省了时间,透明韩式四维隐形正畸矫正矫治器厚度不到1mm,透明、光滑、舒适,无异物感和粘膜刺激,是目前更受欢迎和信赖的美齿项目。推荐阅读:韩式隐形正畸
中韩·唯美口腔牙齿矫正专家推荐

李玉如,口腔正畸科。副教授,副主任医师,硕士生导师,口腔医学正畸专业硕士。1991年毕业于中山医科大学口腔系,一直从事口腔正畸的临床、教学和科研工作,临床经验丰富,并注重知识的学习更新,2004年硕士学位毕业。擅长正畸科各类牙颌畸形及疑难病例的矫治,对青少年反牙合、开牙合、功能性矫治、阻生牙的导萌牵引及成年人牙颌畸形、牙周病的正畸治疗有良好的疗效。点击在线咨询,了解牙齿矫正的优惠信息!在线预约可享更多优惠!
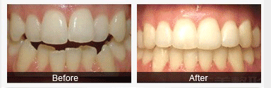
中韩·唯美口腔牙齿矫正前后对比图

温馨提示:牙齿不齐患者一定要及时去专业口腔医院做矫正,以免产生更多的危害,如果您还有其他疑问,可直接向我们的在线专家免费咨询!点击在线咨询。中韩·唯美口腔是一家正规、高档的口腔医院具有先进一流的诊疗设备,专业知名的知名医生,实施无痛治疗,满足患者要求,以服务顾客为。
相关感兴趣文章
豫公网安备 41010502002633号
免责声明:本网站近期将进行改版,网站所有内容及图片不做为任何法律依据。如有违反或者侵权,请及时联系更改。
网站医疗信息仅供参考,不能作为诊断及医疗依据 本网站内容部分来源转载于网络,不能作为任何法律依据!
请注意时效性,望知悉。如有违反或者侵权,请及时联系更正。