 
	  
	  
	牙齿变黑怎么办?与牙齿原来截然相反的颜色出现时,那种感觉比牙齿变黄的情况更加的恶劣,黑色的牙齿总是让我们口腔健康受到威胁的同时还要遭受形象受损的情况,给我们的生活带来诸多不便。那么牙齿变黑怎么办呢?
中韩·唯美口腔专家介绍:黒牙,主要分为牙齿内部变黑和牙齿外部变黑两种。
牙齿内部变黑:更常见为四环素(及其衍生物)类的抗生素所引起的牙齿变黑。比如有的朋友小时候吃过多的四环素药物,这类药物会在牙齿发育钙化过程中影响牙齿组织而造成永久的变色。从母体内的胎儿到8岁的学童都会受到此药物的影响。
牙齿外部变黑:主要是由于长期习惯性地饮用咖啡、浓茶、可乐等深色饮食都使得牙齿变黄、变黑。其它如抽烟,嚼槟榔等不良习惯也会因为日积月累的深色素沉积于牙齿表面,甚至渗透入牙齿珐琅质内部,造成变色。你的牙齿变黑情况是哪一种呢?点击在线咨询进行了解!
想要美白变黑的牙齿,可以采用360°彩光美白
中韩·唯美口腔引进的美国360度彩光牙齿美白技术是将波长介于480-520nanometer之间的高强度蓝光,经由光纤传导,通过两片30多层镀膜的特殊光学镜片,再经过特殊光学处理,隔除一切有害的紫外线和红外线,将过氧化氢和直径为20纳米的二氧化硅等为主体的美白剂,快速产生氧化还原作用。美白剂透过牙小管,去除牙齿表面及深层附着的色素,从而达到美白的效果。推荐阅读:美国360°彩光美白
360度彩光美白优势
1、安全舒适、无副作用
低温彩光,完全避免了操作过程中对牙神经的刺激。美白剂的主要成分过氧化氢,安全使用在牙齿脱色上已有数十年之久。在亲水性药物和完全不接触牙龈的美白过程中,对牙齿结构及珐琅质不会造成任何伤害。一次性、无刺激、无副作用的美白效果可持续两年以上。因此被公认是目前更有效及更安全的牙齿脱色美白技术。
2、全程美白、仅需30分钟!
美白的操作时间不用很长,仅需30分钟。
3、即刻美白、效果显著!
360度彩光美白是一项正流行于欧美的更新牙齿美白技术,它不仅可以去除牙齿表面的色素沉积,同时可进入牙齿深层达到脱色的效果。根据临床实验表明,使用彩光牙齿美白技术,其效果可提高5-14个vita色阶,不仅优于同类产品,更超过家用牙套美白效果30%以上。操作过程仅需三十分钟,无副作用,美白效果可维持两年以上。点击在线咨询,直接与专家对话了解更多彩光美白的相关知识及优惠信息!在线预约可享更多优惠!
4、360旋转技术、全方位美白!
360度彩光美白采用旋转技术,全方位美白你的牙齿。
360度彩光美白适应人群
黄牙、茶渍牙、中度氟斑牙咖啡牙、四环素牙美白、氟斑牙美白、外因性变色牙、遗传性变色牙、黄黑牙美白、烟渍牙美白。
360度彩光美白后注意事项
彩光美白具有高效快速、保护牙齿、舒适无痛、效果持久等优点。迅速成为了消费者牙齿美白的理想。 彩光美白后需注意以下两点:
1、注意饮食
首先在彩光美白牙齿后24小时内,牙齿更易染色。所以美白后要注意不要喝咖啡、可乐等饮料,也不要食用深色食物。尤其是吸烟对牙色的维护影响更大,所以更要注意不要吸烟。
2、注意清洁
牙齿的清洁可有效预防牙齿的再着色,患者可在医生的指导下进一步使用美白缓冲剂和氟化剂使牙齿更坚固。另外,患者在早中晚要注意刷牙漱口,保持口腔清洁。此外,定期到医院复诊,也可清除牙齿中的外源性色素沉着,使美白疗效更持久。如果彩光美白后的护理工作做得好,美白效果会更持久。点击在线咨询,了解更多牙齿美白后的护理方法!
中韩·唯美口腔牙齿美白专家推荐
	
程玲,口腔执业医师,精湛技术:牙齿美容、牙齿矫正、1小时德国西诺德CAD/CAM3D齿雕全瓷修复。毕业于河南医科大学,先后在华西口腔医学院及三级甲等医院口腔中心工作,积累了丰富的临床经验。在固定修复、美齿美白方面技艺精湛有着突出优势,曾参与中韩美容整形峰会,并于核心期刊发表论文多篇。该医师技术娴熟,操作规范轻柔,行医严谨,待人真诚,已成功完成近千例的牙齿美容修复,深得患者好评。
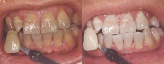
中韩·唯美口腔牙齿美白前后对比图
	
如果您觉得我们的文章没有解释的很清楚,或者还有其他疑问,您可以直接点击我们的在线咨询医生,中韩·唯美口腔专业咨询医生会给您耐心的,详细的解答,并给您一个满意的答复!
相关感兴趣文章
豫公网安备 41010502002633号
免责声明:本网站近期将进行改版,网站所有内容及图片不做为任何法律依据。如有违反或者侵权,请及时联系更改。
网站医疗信息仅供参考,不能作为诊断及医疗依据 本网站内容部分来源转载于网络,不能作为任何法律依据!
请注意时效性,望知悉。如有违反或者侵权,请及时联系更正。