 
	  
	  
	牙齿美白价格是多少?梦想离不开执行力去点缀,蓝天离不开朵朵白云的祝福,而微笑也是离不开雪白牙齿的陪衬,而生活中,牙齿变色情况的发生有时候我们无法躲避,因此在牙齿出现变色的时候,就需要我们美白牙齿,那么牙齿美白价格是多少呢?
牙齿美白价格是多少
牙齿美白价格是多少与美白方法有关,目前常用的牙齿美白方法有彩光美白牙,激光美白牙与超声洁牙,不同方法其价格就不同,而这三种常用方法中又属彩光美白牙齿是更受爱美者青睐的。
牙齿美白价格是多少与自身情况有关,每位爱美者的牙齿情况都大不大相同,如牙黄、四环素牙、氟斑牙等,其轻、重程度深浅不同也会影响更终价钱的决定。你的牙齿变色情况是怎样的呢?点击在线咨询,直接与专家对话了解详情!
牙齿美白价格是多少与选择医院有关,医院的治疗设备与专家都是影响因素,先进的设备与知名的专家治疗将保障治疗的安全与稳定,也能保证效果好且没副作用,其价格也是严格按国家标准来规定的。
牙齿美白技术推荐——美国360°彩光美白
中韩·唯美口腔的360°彩光美白技术是一项正流行于欧美的更新兴的牙齿美白技术,它将高强度彩光定点照射,它不仅可以去除牙齿表面的色素沉积,及深层所附着的色素,美白效果持久有效,仅需短短的30分钟,即可让您拥有一口润白亮泽的牙齿。具有持久、自然、快速、专业、安全等五大优势。推荐阅读:美国360°彩光美白
适用范围:一般外因性色素牙(咖啡、茶渍、烟渍沉积、槟榔染色)、中轻度四环素牙、氟斑牙、药物性变色牙、遗传性黄牙等外源性和内源性牙齿颜色难看问题。点击在线咨询,了解牙齿美白的优惠活动,在线预约可享更多优惠!
中韩·唯美口腔牙齿美白专家推荐
	
罗柏柯,口腔执业医师,精湛技术:美容修复、口内治疗、1小时德国西诺德CAD/CAM3D齿雕全瓷修复。毕业于郑州大学口腔系,曾于华西口腔医学院从事口腔修复、口腔外科以及口腔内科工作,拥有丰富的临床经验,主要擅长烤瓷和全瓷的美容修复及龋病的充填治疗,牙髓病、根尖周病的根管治疗。多次应邀参加国内外口腔学术交流,在省级、品质刊物上发表学术论文数十篇。从医以来,接诊病例数千例,为人谦和,热心细致,操作轻柔,得到客人与同事一致肯定与称赞!
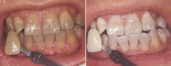
中韩·唯美口腔牙齿美白前后对比图
	
中韩·唯美口腔医院诊疗中心推出网络挂号预约系统,在网站上挂号成功后可减免专家挂号费,并有优惠。预约时间就诊更方便快捷,省去看专家要排队的烦恼。
相关感兴趣文章
豫公网安备 41010502002633号
免责声明:本网站近期将进行改版,网站所有内容及图片不做为任何法律依据。如有违反或者侵权,请及时联系更改。
网站医疗信息仅供参考,不能作为诊断及医疗依据 本网站内容部分来源转载于网络,不能作为任何法律依据!
请注意时效性,望知悉。如有违反或者侵权,请及时联系更正。