 
	  
	  
	郑州四环素牙美白多少钱?牙齿变色是造成我们个人形象提升不起来的罪魁祸首,变色牙阻断了我们的笑容,还危害着我们的口腔健康。因此美白色素牙是很有必要的。四环素牙是一种常见的牙齿变色情况,那么四环素牙美白多少钱呢?
影响美白四环素牙价格的因素
1、四环素牙程度决定价格:四环素牙分为轻度、中度和重度,对于轻度、中度可采用较简单的炫彩美白、瓷贴面等美白方式,价格相对便宜。对于重度的,可通过美容冠来达到修复目的,而美容冠的价格也因材料的不同而不同。你的牙齿程度是怎样的呢?点击在线咨询直接与专家对话了解详情!
2、医生选择决定价格:专业的医生做出的修复技术自然得到广大消费者的欢迎。优秀的医生往往会在治疗前与顾客进行那个深入的沟通,了解顾客希望得到的预知效果,为顾客制定符合自己的美牙方案,所以价格是不一样的。
3、美白方法决定价格:顾客所选的牙齿美白方法。不同的美白方法,价格就不一样。如今牙齿美白的方法有很多,这些牙齿美白的方法都是不同的,有着不同的效果,当然价格也就不一样。推荐阅读:美国360°彩光美白
四环素牙美白方法推荐——美国360°彩光美白
美国360°彩光美白技术是美国牙科激光科技更新成果,也是通过美国食品及药物监督管理局(FDA)认证、欧盟CE认证的彩光美白技术,是目前更有效及更安全的牙齿美白技术。仅需短短30分钟,美国360°彩光美白即可有效去除黄牙、烟渍牙、黑牙、四环素牙、氟斑牙等各种色素牙困扰。在欧美,已有超过4百万人用彩光美白技术美白牙齿,它被称为效果更好的午休美容项目,美白效果直接更持久,并迅速在日韩、中国普及。临床试验表明使用美国360°彩光美白,牙齿美白效果可提高5~15个vita色阶并且对牙齿和牙龈没有任何伤害。点击在线咨询,了解牙齿美白的优惠活动!在线预约可享更多优惠!
中韩·唯美口腔牙齿美白专家推荐
	
程玲,口腔执业医师,精湛技术:牙齿美容、牙齿矫正、1小时德国西诺德CAD/CAM3D齿雕全瓷修复。毕业于河南医科大学,先后在华西口腔医学院及三级甲等医院口腔中心工作,积累了丰富的临床经验。在固定修复、美齿美白方面技艺精湛有着突出优势,曾参与中韩美容整形峰会,并于核心期刊发表论文多篇。该医师技术娴熟,操作规范轻柔,行医严谨,待人真诚,已成功完成近千例的牙齿美容修复,深得患者好评。
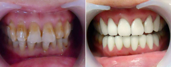
中韩·唯美口腔牙齿美白前后对比图
	
如有有任何疑问,你可在线咨询得到想要的蜕变答案,中韩·唯美口腔专家会根据您的实际情况为您推荐更好的治疗方案并为您申请专项优惠。
相关感兴趣文章
豫公网安备 41010502002633号
免责声明:本网站近期将进行改版,网站所有内容及图片不做为任何法律依据。如有违反或者侵权,请及时联系更改。
网站医疗信息仅供参考,不能作为诊断及医疗依据 本网站内容部分来源转载于网络,不能作为任何法律依据!
请注意时效性,望知悉。如有违反或者侵权,请及时联系更正。