美容冠矫正牙齿多少钱?现代社会中,很多牙齿不齐的患者都想快速解决牙齿问题,改善个人的外在形象,增加竞争的机会,美容冠矫正是如今牙齿美容矫正效率更快的方法,非常适合牙齿不齐患者,那么美容冠矫正牙齿多少钱?
美容冠价格决定因素一般包括以下几方面:
1、美容冠的费用与牙齿基础条件有关
不同患者由于牙齿病变的情况不同,美容冠所用的材料和矫正牙齿的数量都不同,自然美容冠价格也不同。
2、美容冠的费用与牙冠品质材料有关
美容冠品质不同价格不同,也可以说材料不同价格不同。先从美容冠的材料看,有进口和国产之分,在性能和效果上有较大区别,美容冠价格自然就不同。专业的口腔医院,通常医生会根据您的情况帮您选择适合的美容冠,不用担心会多花冤枉钱。
3、美容冠的费用与医生技术有关
医生不仅要精通口腔的治疗,也要有较强的审美理念,还有赖于临床医师专业的修复理论支撑、规范的操作、正确的设计和技师的密切配合等。所以非一般的治疗型的口腔所能把握的,因此,做美容冠一定要到正规的口腔医院,正规医院才会有专业的医生。了解更多美容冠,点击在线咨询,直接与专家相互交流,详细咨询!
4、美容冠的费用与医院有关
一个专业的口腔医院,在硬件投入和软件建设上是非常重视的,一套综合的牙齿美容设备就是上百万不等,医院的技术、质量、信誉、服务也不尽相同。
中韩·唯美口腔牙齿美容技术推荐
3D美容冠它突破传统烤瓷牙的各种弊端,强调牙齿的美容效果,对错位牙、色素牙、畸形牙的临床冠部分施以专业手段,更后用美牙冠加以修复。具有美牙不拔牙,无痛苦,时间短,牙齿坚固,只需一小时,还你整齐洁白牙齿。多年后牙龈不易出现黑线等优点,从而达到终身有保障的美容效果。推荐阅读:3D美容冠
中韩·唯美口腔牙齿美容专家推荐

莫三心教授,主任医师,硕士研究生导师。唯美口腔特邀专家,河南省口腔医学领域知名专家、郑州大学知名教授。精湛技术:牙齿种植、口腔修复、牙齿美容修复曾多次获得卫生部及省市各级表彰。主编多部并且参与编写多部国家医学教材,发表学术论文20余篇。擅于口腔修复,并涵盖口腔专业各个领域,可谓是大师级的口腔专家,在国内口腔界享有很高的声望。点击在线咨询,了解牙齿美容的优惠信息!在线预约可享更多优惠!
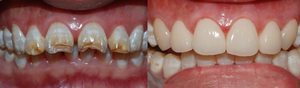
中韩·唯美口腔牙齿美容前后对比图

温馨提示:以上内容是关于美容冠价格的介绍,中韩·唯美口腔医院拥有雄厚的医疗实力,梯队合理的口腔科学医师团队,为患者提供了可靠的保障,本着“花更少的钱,达到更好治疗效果”的原则,坚持平价收费,多年来受到外界的一致好评。
相关感兴趣文章
豫公网安备 41010502002633号
免责声明:本网站近期将进行改版,网站所有内容及图片不做为任何法律依据。如有违反或者侵权,请及时联系更改。
网站医疗信息仅供参考,不能作为诊断及医疗依据 本网站内容部分来源转载于网络,不能作为任何法律依据!
请注意时效性,望知悉。如有违反或者侵权,请及时联系更正。