做美容冠后会不会出现不适? 随着美容美白在生活中不断普及,牙齿美容也引起人们的注意,美容冠作为新兴美齿技术,优良的效果深受人们的亲睐,平常的手术后可能有一些不适应,那么做美容冠后会不会出现不适?
专家说做美容冠后会不会出现不适,美容手术后护理很重要:
1、初戴美容冠时有轻度不适感患者朋友朋友应耐心练习使用,逐步适应。
2、初戴时应吃软的食物,适应后再吃正常食物。
3、美容冠美牙后不要咬太硬的食物,比如核桃一类的东西。
4、初期与修复前相比,上下牙尖对位可能会有变化,要缓慢进食,逐步适应,以免咬伤颊舌粘膜。了解更多美容冠,点击在线咨询,直接与专家相互交流,详细咨询!
5、美容冠与基牙的接合处容易聚集菌斑,形成牙石,应注意保持口腔清洁,养成餐后刷牙的习惯,牙缝间可以使用牙线清洁,并定期到机构检查、洁牙。
中韩·唯美口腔牙齿美容技术推荐--3D美容冠
3D美容冠它突破传统烤瓷牙的各种弊端,强调牙齿的美容效果,对错位牙、色素牙、畸形牙的临床冠部分施以专业手段,更后用美牙冠加以修复。具有美牙不拔牙,无痛苦,时间短,牙齿坚固,只需一小时,还你整齐洁白牙齿。多年后牙龈不易出现黑线等优点,从而达到终身有保障的美容效果。推荐阅读:3D美容冠
中韩·唯美口腔牙齿美容专家推荐

莫三心教授,主任医师,硕士研究生导师。唯美口腔特邀专家,河南省口腔医学领域知名专家、郑州大学知名教授。精湛技术:牙齿种植、口腔修复、牙齿美容修复曾多次获得卫生部及省市各级表彰。主编多部并且参与编写多部国家医学教材,发表学术论文20余篇。擅于口腔修复,并涵盖口腔专业各个领域,可谓是大师级的口腔专家,在国内口腔界享有很高的声望。点击在线咨询,了解牙齿美容的优惠信息!在线预约可享更多优惠!
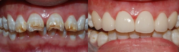
中韩·唯美口腔牙齿美容前后对比图

温馨提醒:在做完了牙齿美容冠后,感觉到强烈的不适感。其实这都是正常的。更多疑问,点击在线专家咨询,中韩·唯美口腔开展从口腔护理、治疗、正畸、牙齿美白、种植全套全系的口腔服务,致力于提供完整、高端、尊贵的口腔健康和美丽维护服务。
相关感兴趣文章
豫公网安备 41010502002633号
免责声明:本网站近期将进行改版,网站所有内容及图片不做为任何法律依据。如有违反或者侵权,请及时联系更改。
网站医疗信息仅供参考,不能作为诊断及医疗依据 本网站内容部分来源转载于网络,不能作为任何法律依据!
请注意时效性,望知悉。如有违反或者侵权,请及时联系更正。