牙齿着色的原因有哪些?洁白亮丽的牙齿是自信的首要条件,就像人们的皮肤颜色不一一样,牙齿的颜色也分为几种,有白色,有黄色,还有的发黑,发黄发黑往往是牙齿着色造成的,那么牙齿着色的原因有哪些?
造成牙齿着色、发黄的原因很多,一般来说分为内源性和外源性两种:
外源性着色是由于牙齿表面存在着多种细菌,它们在牙齿表面分泌许多黏性物质,日常饮食中的茶垢、烟渍、以及饮用水中的某些矿物质和人们唾液中的矿物质吸附在这些黏性物质上形成菌斑和牙石,逐渐使牙齿变黄或变黑。
内源性着色是在牙齿发育过程中形成的,如四环素沉积在牙本质内,就会使得牙齿变成黄色、棕色或暗灰色,称为四环素牙;如果饮用水中含氟过多,也可能导致氟斑牙,牙面呈白噩色、棕褐色斑块;如果牙髓坏死后,细菌分解牙髓的代谢物,以及牙齿本身的脱水也会让牙齿变色。了解更多牙齿着色原因,点击在线咨询,直接向专家详细了解咨询!
外源性的着色需要通常通过洁牙就可以还原牙齿原本的色泽。而内源性着色,往往就需要通过化学漂白或者遮盖美白来完成。
中韩·唯美口腔牙齿美白技术推荐
360°彩光美白技术是一项正流行于欧美的更新兴的牙齿美白技术,它将高强度彩光定点照射,它不仅可以去除牙齿表面的色素沉积,及深层所附着的色素,美白效果持久有效,仅需短短的30分钟,即可让您拥有一口润白亮泽的牙齿。具有持久、自然、快速、专业、安全等五大优势。推荐阅读:360°彩光美白
中韩·唯美口腔牙齿美白专家推荐

罗柏柯,口腔执业医师,精湛技术:美容修复、口内治疗、1小时德国西诺德CAD/CAM3D齿雕全瓷修复。毕业于郑州大学口腔系,曾于华西口腔医学院从事口腔修复、口腔外科以及口腔内科工作,拥有丰富的临床经验,主要擅长烤瓷和全瓷的美容修复及龋病的充填治疗,牙髓病、根尖周病的根管治疗。多次应邀参加国内外口腔学术交流,在省级、品质刊物上发表学术论文数十篇。从医以来,接诊病例数千例,为人谦和,热心细致,操作轻柔,得到客人与同事一致肯定与称赞!点击在线咨询,了解牙齿美白的优惠信息!在线预约可享更多优惠!
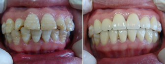
中韩·唯美口腔牙齿美白前后对比图

温馨提示:以上内容是关于牙齿着色原因的介绍,希望对您有所帮助,如果您还有其他疑问,可直接向我们的在线专家免费咨询!点击在线咨询。中韩·唯美口腔一直以“品质生活、从齿开始”为宗旨,为郑州民众的牙齿健康需求提供专业技术和国内外牙医专属服务尊享体验。
相关感兴趣文章
豫公网安备 41010502002633号
免责声明:本网站近期将进行改版,网站所有内容及图片不做为任何法律依据。如有违反或者侵权,请及时联系更改。
网站医疗信息仅供参考,不能作为诊断及医疗依据 本网站内容部分来源转载于网络,不能作为任何法律依据!
请注意时效性,望知悉。如有违反或者侵权,请及时联系更正。