氟斑牙能通过洗牙变白吗?随着生活水平的提高,人们对牙齿保健的关注也增多了,洗牙也成为了一种潮流,越来越普及。很多烟渍牙、茶渍牙等都能通过洗牙达到美白的效果,那么氟斑牙也能通过洗牙美白吗?
其实,氟斑牙是无法通过洗牙变白的。氟斑牙为什么不能通过洗牙变白呢?这就需要了解氟斑牙的形成原因及变现形态。
氟斑牙的形成,是因为饮用水中氟含量过高,牙齿在发育矿化的时候牙齿内部组织着色引起的氟斑牙。氟斑牙往往形成满口黄牙、黑牙,非常影响美观,因此,很多人都在寻求氟斑牙美白的方法。很多氟斑牙患者咨询,氟斑牙能洗白吗?专家表示,正常的牙齿能通过洗牙还原牙齿的本色,只能洗去牙垢、茶垢、烟垢等外源性因素的着色牙,而像氟斑牙这样的着色牙是无法通过洗牙方式来达到美白效果。
氟斑牙和四环素牙并列为牙齿的一大顽疾,氟斑牙的起因是由于牙齿内摄入了超量的氟而导致的一种特殊的牙釉质发育不全的症状。氟斑牙也具有一定的区域性,是一种慢性的氟中毒的早期表现,通常氟斑牙也被叫做是“斑釉牙”。应该氟斑牙给人带来的形象上的影响是很大的。需要大家做好及时的治疗。了解更多氟斑牙,点击在线咨询,直接与专家相互交流!
氟斑牙的美白方法有很多,轻中度的氟斑牙可以通过皓齿美白牙齿美白技术进行治疗,重度氟斑牙可以通过美容冠进行修复,此外,牙贴面等都是氟斑牙常用的修复手段。
中韩·唯美口腔牙齿美白技术推荐
美国360°彩光美白剂是基于冷光美白研发出的更新技术产品,美白过程中无刺激、无副作用,安全呵护牙齿结构和珐琅质,经实验对比,产品优于目前市场上任何冷光牙齿美白剂,在美国,已有超过100万以上的人采用了此种美白剂进行牙齿美白,因此被公认是目前更有效及更安全的牙齿脱色美白剂。推荐阅读:360°彩光美白
中韩·唯美口腔牙齿美白专家推荐

罗柏柯,口腔执业医师,精湛技术:美容修复、口内治疗、1小时德国西诺德CAD/CAM3D齿雕全瓷修复。毕业于郑州大学口腔系,曾于华西口腔医学院从事口腔修复、口腔外科以及口腔内科工作,拥有丰富的临床经验,主要擅长烤瓷和全瓷的美容修复及龋病的充填治疗,牙髓病、根尖周病的根管治疗。多次应邀参加国内外口腔学术交流,在省级、品质刊物上发表学术论文数十篇。从医以来,接诊病例数千例,为人谦和,热心细致,操作轻柔,得到客人与同事一致肯定与称赞!点击在线咨询,了解牙齿美白的优惠信息!在线预约可享更多优惠!
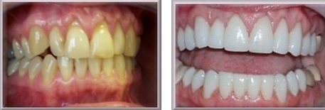
中韩·唯美口腔牙齿美白前后对比图

温馨提示:通过上文的阅读,相信大家对洗牙也有了一定的了解,氟斑牙患者一定要选择适合的方法解决牙齿问题。更多疑问,可以随时点击中韩·唯美口腔的在线咨询,由专业口腔医师为您做详细的解答。
相关感兴趣文章
豫公网安备 41010502002633号
免责声明:本网站近期将进行改版,网站所有内容及图片不做为任何法律依据。如有违反或者侵权,请及时联系更改。
网站医疗信息仅供参考,不能作为诊断及医疗依据 本网站内容部分来源转载于网络,不能作为任何法律依据!
请注意时效性,望知悉。如有违反或者侵权,请及时联系更正。