氟斑牙的治疗方法有哪些,氟斑牙也称成斑釉,为是典型的地方性疾病,也是一种牙齿疾病,对容貌和口腔健康都会造成不同程度的影响。因此,一旦有了氟斑牙一定要尽快选择正规的口腔医院,对牙齿进行详细的检查,然后根据自身牙齿的情况,选择适合的治疗方法,那么,氟斑牙的治疗方法有哪些?为此,通过以下我们来进行详细的了解。

氟斑牙怎么办?氟斑牙具体的治疗方法如下:
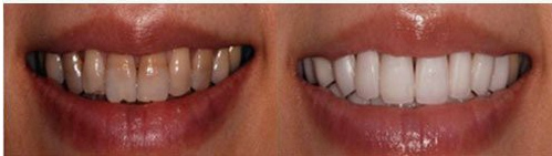
1、全瓷贴面:全瓷贴面从牙齿的形态、色泽、功能、结构、相容等生态学方面加以仿生技术处理,整个美牙过程轻松完成,无需拔牙更无痛苦。适合轻、重所有程度四环素牙,氟斑牙。
2、烤瓷冠修复:烤瓷牙全称是烤瓷熔附金属全冠,是一种理想的修复体。它是先用合金制成金属基底,再在其表面覆盖与天然牙相似的低熔瓷粉,在真空高温烤瓷炉中烧结熔附而成,因而有金属的强度和烤瓷全冠的美观。它的特点是能恢复牙体的形态功能,抗折力强且颜色、外观逼真,表面光滑,耐磨性强不会变形,色泽稳定, 成功的烤瓷修复体应当是形态逼真,色泽稳定.耐酸碱,属永久性修复体。
3、冷光美白:冷光美白是一项正流行于欧美的更新牙齿美白技术,它不仅可以去除牙齿表面的色素沉积,同时可进入牙齿深层达到脱色的效果。根据临床实验表明,使用冷光牙齿美白技术,其效果可提高5-14个vita色阶,不仅优于同类产品,更超过家用牙套美白效果30%以上。推荐阅读:郑州氟斑牙变白费用是多少
氟斑牙的治疗方法有哪些?以上就是郑州口腔医院郑州唯美口腔专家的介绍。对于氟斑牙的患者,一定要到医院进行详细的检查,然后根据牙齿的情况,让医生来给你分析你是属于哪种氟斑牙症,并且根据你的程度来给你选择合适的治疗氟斑牙的方法。如果对氟斑牙还有不明白的的地方,可在线咨询我们的专家。
相关感兴趣文章
豫公网安备 41010502002633号
免责声明:本网站近期将进行改版,网站所有内容及图片不做为任何法律依据。如有违反或者侵权,请及时联系更改。
网站医疗信息仅供参考,不能作为诊断及医疗依据 本网站内容部分来源转载于网络,不能作为任何法律依据!
请注意时效性,望知悉。如有违反或者侵权,请及时联系更正。