欢迎进入郑州市金水区唯美口腔

郑州唯美口腔医院周年庆预约专家

郑州唯美口腔医院周年庆在线咨询

郑州唯美口腔医院周年庆免费咨询热线 0371-55019113

首页 > 郑州牙齿修复 > 氟斑牙 >
郑州唯美口腔医院

氟斑牙很严重该怎么治疗

来源 :郑州唯美口腔医院        时间:2015-03-26 10:40 进入专家答疑区 在线咨询 | 预约专家
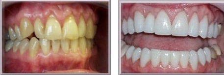
  氟斑牙很严重该怎么治疗,氟斑牙有一定的区域性,如果生活居住地区的水质含氟量比较高,牙齿就可能出现氟斑牙的情况。氟斑牙一般呈现黄色,严重的氟斑牙就会出现牙釉质发育不全,牙齿缺损等情况,此时就需要引起高度重视了。那么,氟斑牙很严重该怎么治疗?为此,通过以下我们来进行详细的了解。
 
氟斑牙很严重该怎么治疗
 
  严重氟斑牙要尽早治疗
 
  郑州氟斑牙美白郑州唯美口腔专家介绍,在氟斑牙患者种,有的人认为只是染色问题,不管也没什么影响。其实不然,严重的氟斑牙,牙齿就会出现缺损等问题,所以一定要尽早治疗。
 
  通常情况,一般中轻度的氟斑牙,可以通过专业的美白技术进行美白,比如郑州唯美口腔360°彩光美白技术。针对严重的氟斑牙,单纯美白是不够的,必须要进行牙冠的修复,在这里为您推荐3D美容冠技术。
 
  郑州唯美口腔3D美容冠技术
 
  郑州唯美口腔引进德国3D美容冠技术能在不刺激口腔组织,既能恢复牙齿功能,又有美白功效的情况下,达到快速使氟斑牙变白。打破了过去拔牙、磨牙、取模、刻腊、烧瓷等传统程序,运用计算机辅助设计和制作,一次性完成备牙、光学取模、设计、研磨、试戴、安装等全部程序,整个过程仅需一个小时。推荐阅读:郑州氟斑牙美白需要多少钱
 
  而经过3D美容冠技术修复后的氟斑牙具有对牙龈无刺激,其光学性质、生物相容性绝佳,色彩逼真,无牙龈黑线现象,因此更接近天然牙的特点。
 
  氟斑牙很严重该怎么治疗?通过以上的介绍,想必大家也有了一定的了解。郑州唯美口腔拥有先进的牙齿美容修复技术,和经验丰富的口腔专家,可确保牙齿修复的效果。如果对氟斑牙还有什么不明白的地方,可点击在线咨询,与我们的专家一对一进行咨询。

浏览本篇文章的网友

27%
选择了:郑州唯美口腔医院
在线医师坐诊,快速悉知病情!
39%
选择了:郑州唯美口腔医院
在线医师坐诊,快速悉知病情!
分享到:郑州唯美口腔医院
郑州唯美口腔医院

扫一扫
把郑州唯美
加为好友

郑州唯美口腔医院

相关感兴趣文章

氟斑牙去除需要多少钱

氟斑牙去除需要多少钱

口腔中的有害物质,牙菌斑积累较多,是牙齿变色,还会导致牙周炎,造成口腔软组织感染...[详情]

氟斑牙怎么治疗好呢

氟斑牙怎么治疗好呢

牙齿颜色对于人们有着直接的影响,如果着色较深暗,在工作、社交场合是很容易被人所“...[详情]

郑州氟斑牙是如何形成的呢

郑州氟斑牙是如何形成的呢

氟斑牙的出现,会给牙齿带来黄色、无光的情况,从而影响到牙齿美观问题,甚至在长时间...[详情]

色素牙该怎么办

色素牙该怎么办

坐着的人永远不懂站着的人的痛苦,着色的牙齿让我们穿越到那个变成吃饭不长口、微笑不...[详情]

唯美品牌
郑州唯美口腔医院
  • 时间:10月20日
  • 摘要:唯美口腔加入郑州人民医院医疗集团
  • 地点:郑州唯美口腔
  • 详情 → 咨询 →
郑州唯美口腔医院
  • 时间:每周一、周五亲诊
  • 摘要:矫正专家亲诊
  • 地点:郑州唯美口腔
  • 详情 → 咨询 →
特邀专家

有牙齿困扰 在线找专家

专家热线:0371-55019113

专家团队
精彩专题
> 微创即刻种植牙
> 隐适美隐形矫正
> 360°彩光美白
> 超薄牙贴面
> 3D全瓷牙

豫公网安备 41010502002633号

免责声明:本网站近期将进行改版,网站所有内容及图片不做为任何法律依据。如有违反或者侵权,请及时联系更改。

网站医疗信息仅供参考,不能作为诊断及医疗依据 本网站内容部分来源转载于网络,不能作为任何法律依据!

请注意时效性,望知悉。如有违反或者侵权,请及时联系更正。