烤瓷牙怎么样?牙齿的作用不仅体现在我们对形象的追求上,若是牙齿出现问题,我们的口腔健康,以及牙齿的咀嚼,发音等功能都不能得到有效的使用,给我们造成诸多不便。烤瓷牙是修复牙齿常用的方法,那么烤瓷牙怎么样呢?
烤瓷牙有哪些作用
中韩·唯美口腔专家介绍:烤瓷牙主要的作用是解决口腔中牙缝、氟牙症、四环素牙、牙列不齐、畸形牙等等情况,为什么选择烤瓷牙进行治疗了?其实选择烤瓷牙的原因是因为烤瓷牙的外表和牙齿的颜色非常相近,并且强度非常高,生物的相容性也非常强,从各个方面来说都是非常理想的牙齿替代品。
烤瓷牙怎么样
1、强度极高:烤瓷牙的强度相对较高,和牙齿的强度非常接近,吃饭咀嚼也非常方便,并且耐磨耐用,是非常理想的材料。
2、生物相容性:选择进入人体的材料需要避免生物相容性的方面,并且还需要避免腐蚀性,而烤瓷牙就具备这种水平,并且治疗的时间也非常短暂,只需要经过二次就诊一个星期就可以完成。
3、对牙体组织等的保护:生活中常常采用到烤瓷牙的原因是因为变色龋坏死的原因,这个时候采用烤瓷牙将牙齿包围,不仅能避免牙冠的损坏,并且还有非常好的绝缘性,并且避免了对牙髓的损伤。
4、适用范围广美观度高:烤瓷牙颜色接近牙齿,并且针对很多牙科疾病都可以采用其进行治疗。比如说断牙、牙釉质发育不全、牙缝过宽、缺牙等等。推荐阅读:3D全瓷牙
中韩·唯美口腔牙齿美容技术推荐
中韩·唯美口腔拥有的3D全瓷牙采用更高端的氧化锆材料,运用先进的CT三维数字扫描技术、电脑智能CAD/CAM系统设计,在短时间内根据患者的口腔条件、脸型、肤色,量身定做个性化全瓷牙修复美容方案。3D全瓷牙拥有完美的精密度;具有真牙相匹配的透光性,色泽逼真,可媲美自然牙;良好的生物相容性,对牙龈无刺激;强度绝佳,强度超出真牙,拥有卓越的咬合力量,无不良金属离子渗出,磨牙较少,更大程度地保留原有的牙齿组织,所以能达到更佳的美齿效果及与软组织的更舒适接触。点击在线咨询,了解牙齿美容的优惠信息!在线预约可享更多优惠!
中韩·唯美口腔牙齿美容专家推荐

莫三心教授,主任医师,硕士研究生导师。唯美口腔特邀专家,河南省口腔医学领域知名专家、郑州大学知名教授。精湛技术:牙齿种植、口腔修复、牙齿美容修复曾多次获得卫生部及省市各级表彰。主编多部并且参与编写多部国家医学教材,发表学术论文20余篇。擅于口腔修复,并涵盖口腔专业各个领域,可谓是大师级的口腔专家,在国内口腔界享有很高的声望。
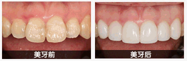
中韩·唯美口腔牙齿美容前后对比图

如果您还有想要了解的情况,可以点击我们的在线咨询,中韩·唯美口腔的在线专家会给您更专业,更详细的解答,或是拨打我们的24小时康复热线,与专家一对一详解。
豫公网安备 41010502002633号
免责声明:本网站近期将进行改版,网站所有内容及图片不做为任何法律依据。如有违反或者侵权,请及时联系更改。
网站医疗信息仅供参考,不能作为诊断及医疗依据 本网站内容部分来源转载于网络,不能作为任何法律依据!
请注意时效性,望知悉。如有违反或者侵权,请及时联系更正。