欢迎进入郑州市金水区唯美口腔

郑州唯美口腔医院周年庆预约专家

郑州唯美口腔医院周年庆在线咨询

郑州唯美口腔医院周年庆免费咨询热线 0371-55019113

首页 > 郑州牙齿修复 > 烤瓷牙 >
郑州唯美口腔医院

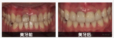
烤瓷牙可以用一辈子吗

来源 :郑州唯美口腔医院        时间:2015-07-09 09:07 进入专家答疑区 在线咨询 | 预约专家

 烤瓷牙可以用一辈子吗,烤瓷牙修复是现在大家认为比较好的修复方式,在我们身边得到了广泛的应用,很多人都希望烤瓷牙能像真牙一样耐用,但是不清楚牙齿也是需要得到正确的维护,才能使寿命得以延长的,由于大家对烤瓷牙的知识不了解,很多的患者朋友想了解的是烤瓷牙能够使用一辈子吗?下面听听郑州唯美口腔医院专家的介绍。

烤瓷牙可以用一辈子吗

  唯美口腔专家说,正常情况下,一副好的烤瓷牙的使用寿命一般要在十年以上,而生活中,烤瓷牙的使用寿命超过20年,30年的也屡见不鲜,烤瓷牙能不能使用一辈子要看下面四个因素。

  1,医生的修复技术有关:和医生的技术很有关系。然后就是求美者自身的口腔条件影响烤瓷牙的寿命。烤瓷牙手术前需要先检查口腔情况,也需要医生的修复技术很好,医生的修复技术也是影响烤瓷牙价格的一个原因。

  2,烤瓷牙的材料:价格之所以会很不一样,原因就是进行烤瓷牙手术的材料,每个患者朋友选择的材料不同,因此,烤瓷牙就会有不同的价格。

  3,后期的护理有关:养成一个好的清洁牙齿的习惯,这样才能避免食物残渣的堆积,烤瓷牙修复完成后,在饮食方面不能吃一些过硬的食物,不然会影响烤瓷牙寿命的。

  4,患者的自身条件:近年来烤瓷牙得到了广泛的推广和使用,但并不是每个人都能做好的,有些牙齿过小,就会很容易出现修复失败,如果注意其适应症的话,用好的护理措施,正规操作下,烤瓷牙就不会出现松动的现象。

  建议患者朋友更好选择专业正规医院进行治疗。只有这样的口腔医院才能给我们放心的治疗效果和较好的保障。

  郑州唯美口腔医院,私立口腔,品质保障

  郑州唯美口腔是一家化高端口腔私人会所,是中原地区数字化口腔专业机构,是以牙齿种植、牙齿美容、牙齿修复、牙齿矫正、牙齿正畸治疗、口腔治疗、口腔保健预防为特色的知名口腔美容医疗机构,全国口腔医学会会员单位,中韩合作种植牙基地,口腔生态美学指定单位。

  郑州唯美口腔拥有的3D全瓷牙采用更高端的氧化锆材料,运用先进的CT三维数字扫描技术、电脑智能CAD/CAM系统设计,在短时间内根据患者的口腔条件、脸型、肤色,量身定做个性化全瓷牙修复美容方案。

  3D全瓷牙拥有完美的精密度;具有真牙相匹配的透光性,色泽逼真,可媲美自然牙;良好的生物相容性,对牙龈无刺激;强度绝佳,强度超出真牙,拥有卓越的咬合力量,无不良金属离子渗出,磨牙较少,更大程度地保留原有的牙齿组织,所以能达到更佳的美齿效果及与软组织的更舒适接触。

  烤瓷牙可以用一辈子吗,如果您对以上的内容,还有任何不明白的地方,欢迎点击在线咨询,与专家进行一对一交流,同时网上咨询预约,还可享免挂号费,无需排队优先就诊服务。

浏览本篇文章的网友

27%
选择了:郑州唯美口腔医院
在线医师坐诊,快速悉知病情!
39%
选择了:郑州唯美口腔医院
在线医师坐诊,快速悉知病情!
分享到:郑州唯美口腔医院
郑州唯美口腔医院

扫一扫
把郑州唯美
加为好友

郑州唯美口腔医院

相关感兴趣文章

郑州哪里陶瓷牙齿

郑州哪里陶瓷牙齿

郑州哪里陶瓷牙齿好 不少人都知道陶瓷牙效果好,寿命长,美观得体,想为自己的缺牙美...[详情]

郑州医院烤瓷牙多少钱

郑州医院烤瓷牙多少钱

郑州医院烤瓷牙多少钱,很多身边的朋友都存在牙齿缺失问题,常见原因都是蛀牙引发的牙...[详情]

做烤瓷牙套要多少钱

做烤瓷牙套要多少钱

做烤瓷牙套要多少钱, 由于一些外在的因素,导致我们需要去做烤瓷牙来修复牙齿,可是我...[详情]

烤瓷牙哪家医院好?

烤瓷牙哪家医院好?

现在社会中我们的生活越来越好对于自己的牙齿慢慢关注的越来越多,大家通常对于做烤瓷...[详情]

唯美品牌
郑州唯美口腔医院
  • 时间:10月20日
  • 摘要:唯美口腔加入郑州人民医院医疗集团
  • 地点:郑州唯美口腔
  • 详情 → 咨询 →
郑州唯美口腔医院
  • 时间:每周一、周五亲诊
  • 摘要:矫正专家亲诊
  • 地点:郑州唯美口腔
  • 详情 → 咨询 →
特邀专家

有牙齿困扰 在线找专家

专家热线:0371-55019113

专家团队
精彩专题
> 微创即刻种植牙
> 隐适美隐形矫正
> 360°彩光美白
> 超薄牙贴面
> 3D全瓷牙

豫公网安备 41010502002633号

免责声明:本网站近期将进行改版,网站所有内容及图片不做为任何法律依据。如有违反或者侵权,请及时联系更改。

网站医疗信息仅供参考,不能作为诊断及医疗依据 本网站内容部分来源转载于网络,不能作为任何法律依据!

请注意时效性,望知悉。如有违反或者侵权,请及时联系更正。