全瓷牙后期护理有哪些注意的?我们知道,牙齿缺损对我们口腔功能影响很大,而且还影响个人形象和心理发育,很多人选择全瓷牙去改善个人牙齿,手术过程要严格保密;那么全瓷牙后期护理有哪些注意的?
全瓷牙的后期护理注意事项:
1、注意牙齿的清洁卫生,因为全瓷牙与基牙的接合处容易聚集菌斑,形成牙石,应注意清洁,牙缝间可用牙线自洁,并定期到医院检查、洁牙。
2、不要用全瓷牙来吃过于硬的东西。全瓷牙的可承受力非常大,但是如果受到超过它的应力范围的压力也是有可能会出现碎瓷的状况,建议求美者在做了全瓷牙后尽量不要要过硬的东西,比如核桃一类的东西。了解更多全瓷牙,点击在线咨询,直接与专家相互交流,详细咨询!
再者镶牙初期与修复前相比,上下牙尖对位不同,要缓慢进食,以免咬伤颊舌粘膜。
中韩·唯美口腔牙齿美容技术推荐
中韩·唯美口腔拥有的3D全瓷牙采用更高端的氧化锆材料,运用先进的CT三维数字扫描技术、电脑智能CAD/CAM系统设计,在短时间内根据患者的口腔条件、脸型、肤色,量身定做个性化全瓷牙修复美容方案。3D全瓷牙拥有完美的精密度;具有真牙相匹配的透光性,色泽逼真,可媲美自然牙;良好的生物相容性,对牙龈无刺激;强度绝佳,强度超出真牙,拥有卓越的咬合力量,无不良金属离子渗出,磨牙较少,更大程度地保留原有的牙齿组织,所以能达到更佳的美齿效果及与软组织的更舒适接触。推荐阅读:3D全瓷牙
中韩·唯美口腔牙齿美容专家推荐
	
莫三心教授,主任医师,硕士研究生导师。唯美口腔特邀专家,河南省口腔医学领域知名专家、郑州大学知名教授。精湛技术:牙齿种植、口腔修复、牙齿美容修复曾多次获得卫生部及省市各级表彰。主编多部并且参与编写多部国家医学教材,发表学术论文20余篇。擅于口腔修复,并涵盖口腔专业各个领域,可谓是大师级的口腔专家,在国内口腔界享有很高的声望。点击在线咨询,了解牙齿美容的优惠信息!在线预约可享更多优惠!
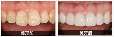
中韩·唯美口腔牙齿美容前后对比图
	
温馨提示:以上内容是关于全瓷牙后期护理的介绍,希望对大家有所帮助,更多疑问,可以随时咨询在线专家,详细了解,中韩·唯美口腔是一家正规的专业口腔医院,是您做全瓷牙的更佳选择。
豫公网安备 41010502002633号
免责声明:本网站近期将进行改版,网站所有内容及图片不做为任何法律依据。如有违反或者侵权,请及时联系更改。
网站医疗信息仅供参考,不能作为诊断及医疗依据 本网站内容部分来源转载于网络,不能作为任何法律依据!
请注意时效性,望知悉。如有违反或者侵权,请及时联系更正。