生活水平提高了,人们做事越来越要求高品质,很多牙齿缺损患者在选择修复牙齿时,也开始注重修复技术的效果性价比,烤瓷牙是修复缺损牙齿的更佳办法,相对于传统烤瓷牙,全瓷牙又占了极大地优势,那么全瓷牙的效果到底好在哪里?
以下是口腔科专家介绍的全瓷牙的四种独特优势:
一、完美的透明性:全瓷牙修复更具完美的透明性与折光性,即使像明星一样每时每刻暴露在镁光灯下,也完美得无懈可击。
二、优秀的生物相容性:全瓷材料在口腔中的物理性质呈中性,它同人体的生物结构非常协调,具有高度的生物相容性,不会刺激牙龈而出现牙龈发炎、牙龈变色的现象。
三、结构稳定,不崩瓷:全瓷牙是用瓷做的内冠,然后在内冠的外面包上一层烤瓷冠,内外冠都是瓷,瓷和瓷结合的结构更稳定,不会出现崩瓷的情况。了解更多全瓷牙,点击在线咨询,直接与专家相互交流,详细咨询!
四、保护牙釉质:全瓷牙的硬度与牙釉质近似,不对牙体和口腔造成任何磨损。
中韩·唯美口腔牙齿美容技术推荐
中韩·唯美口腔拥有的3D全瓷牙采用更高端的氧化锆材料,运用先进的CT三维数字扫描技术、电脑智能CAD/CAM系统设计,在短时间内根据患者的口腔条件、脸型、肤色,量身定做个性化全瓷牙修复美容方案。3D全瓷牙拥有完美的精密度;具有真牙相匹配的透光性,色泽逼真,可媲美自然牙;良好的生物相容性,对牙龈无刺激;强度绝佳,强度超出真牙,拥有卓越的咬合力量,无不良金属离子渗出,磨牙较少,更大程度地保留原有的牙齿组织,所以能达到更佳的美齿效果及与软组织的更舒适接触。推荐阅读:3D全瓷牙
中韩·唯美口腔牙齿美容专家推荐
	
莫三心教授,主任医师,硕士研究生导师。唯美口腔特邀专家,河南省口腔医学领域知名专家、郑州大学知名教授。精湛技术:牙齿种植、口腔修复、牙齿美容修复曾多次获得卫生部及省市各级表彰。主编多部并且参与编写多部国家医学教材,发表学术论文20余篇。擅于口腔修复,并涵盖口腔专业各个领域,可谓是大师级的口腔专家,在国内口腔界享有很高的声望。点击在线咨询,了解牙齿美容的优惠信息!在线预约可享更多优惠!
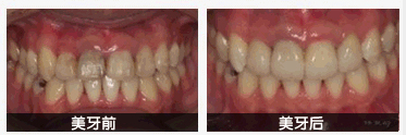
中韩·唯美口腔牙齿美容前后对比图
	
温馨提示:选择牙齿修复美容时候应当结合自身的因素来选择烤瓷牙的种类,并不是更贵就是更好。更多疑问,可以点击我们中韩·唯美口腔医院的在线咨询,由专家给您做详细的,知名的解答!
豫公网安备 41010502002633号
免责声明:本网站近期将进行改版,网站所有内容及图片不做为任何法律依据。如有违反或者侵权,请及时联系更改。
网站医疗信息仅供参考,不能作为诊断及医疗依据 本网站内容部分来源转载于网络,不能作为任何法律依据!
请注意时效性,望知悉。如有违反或者侵权,请及时联系更正。