郑州镶牙的方法有哪些,家住郑州市东区的网友咨询:我的父亲牙齿少了两颗,平时吃饭都成问题,现在都瘦了一大圈,家人都非常着急,想带他到医院镶牙。但对镶牙又不是很了解,为此,想咨询一下,郑州镶牙的方法又哪些?为此,通过一下我们来进行详细的了解。

郑州唯美口腔介绍,镶牙可以分为固定假牙和活动假牙这两种方法,而种植牙也是属于固定假牙中的一种,是近些年开展的更新技术,受到很多牙齿缺失患者的喜爱。镶牙的方法主要有以下几种:
1、活动义齿:活动义齿是利用剩余天然牙或粘膜作为支持,通过卡环固定在剩余天然牙上,这种方法患者可自行摘戴,适宜于缺失单个牙,多个牙,或全口牙都可采用。现在活牙的基托有塑料托和金属钢托,排的牙齿是塑料牙。优点是患者可摘下清洁,余留牙负担较小。
2、固定义齿:固定义齿有金属烤瓷牙,金属钢牙等,利用缺失牙两侧的健康牙做支持,把假牙固定在口腔内,适用于少数牙缺失,间歇缺牙,余留牙健康状态好的情况。优点是固定义齿咀嚼效率高,患者戴用舒适,异物感小,不用摘戴。
3、种植义齿:这是近年来发展较快较新的一项技术,是利用人工种植材料制成各种形状的骨内种植本,植入到颌骨内或牙槽窝内作为基牙,在其上制作固定桥。优点是种植牙使用舒适美观,不损伤邻牙,但价格较贵,种植体可以恢复单个牙,多颗牙,甚至全口牙缺失。
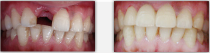
种植牙镶牙更好的修复方法
牙齿缺失一般向大家推荐种植牙的镶牙技术,种植牙完成后,它会依靠自身牙根独立存在,不伤健康牙和相邻组织,抛弃传统中的钩或套,舒适美观、不影响正常发音,能像正常牙齿一样承受咀嚼力量,并具有极好的固位力,在功能和美观上几乎和自然牙一样。推荐阅读:郑州镶牙医院哪家好
郑州唯美口腔引进的"NOBEL"种植牙系统,做为一种革命性的治疗计划和手术实施系统,已经以更短的速度活跃于全球各个先进的口腔界,专家会对患者的口腔情况首先进行更全面的检测,并优先治疗口腔问题,之后此项种植牙技术才在口腔内实施,此项技术精确、方便、快捷!
郑州镶牙的方法有哪些?通过以上的介绍,相比大家对镶牙的方法也有了一定的了解。如果您还有疑问请在线咨询,专家能为您提供更好的服务。
豫公网安备 41010502002633号
免责声明:本网站近期将进行改版,网站所有内容及图片不做为任何法律依据。如有违反或者侵权,请及时联系更改。
网站医疗信息仅供参考,不能作为诊断及医疗依据 本网站内容部分来源转载于网络,不能作为任何法律依据!
请注意时效性,望知悉。如有违反或者侵权,请及时联系更正。