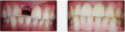
缺牙做种植牙效果好吗,这是牙齿缺失患者更为关心的问题。一旦出现牙齿缺失的情况,不仅影响自身的容貌,而且对口腔咀嚼功能也会受到很大的影响。目前牙齿缺失理想的方法就是进行种植,种植牙对临近的牙齿没有损伤,效果自然。那么,缺牙做种植牙效果好吗?为此,通过以下我们来进行详细的了解。

种植牙好吗?郑州唯美口腔的专家介绍,种植牙是通过医学方式,将和人体骨骼兼容性高的纯钛金属经过精细的设计种植到缺牙的牙床部位,种植牙以外科小手术的方式在缺牙的牙床的牙槽骨内植入金属牙根,大概经过3-6个月的恢复期,然后在人工牙根上制作烤瓷牙冠。这种方法对于邻牙没有损伤,是公认更好的牙齿修复方法。通过这种方法制作的门牙,外观好看,而且功能比较正常。
缺牙做种植牙的优点如下:
1、不伤邻牙:种植牙与传统方式相比,种植牙依靠独立牙根进行固定,修复后的牙齿不涉及邻牙,对邻牙没有损伤。
2、固位好、稳定性高:种植体是深植于患者的牙槽组织,因此种植牙修复后的牙齿,可以像真牙一样扎根在患者的口腔里,比传统假牙更加稳固牢靠。推荐阅读:郑州种植牙医院哪家好
3、咀嚼好:种植牙和真牙的力学原理相同,修复后的牙齿,咀嚼压力可以通过人工牙根直接传递至牙槽组织,因此可以承受更大的咀嚼压力,咀嚼效率较传统假牙有大幅度提高。
4、适应范围更广:随着种植牙技术的不断发展,就目前而言,种植牙几乎可用于各种牙齿缺失以后的修复,例如,单颗、多颗、甚至全口缺牙的患者,都可以通过种植牙进行牙齿修复。
缺牙做种植牙效果好吗?以上就是郑州口腔医院郑州唯美口腔专家的介绍。但是需要注意的是,种植牙修复牙齿缺失来说是很好的方法,但是种植牙技术对各方面要求都是很高的!所以做种植牙一定要选择正规口腔医院进行修复,这样种植牙效果及安全都能得到保障!如果对种植牙还有不明白的地方,可在线咨询我们的专家。
豫公网安备 41010502002633号
免责声明:本网站近期将进行改版,网站所有内容及图片不做为任何法律依据。如有违反或者侵权,请及时联系更改。
网站医疗信息仅供参考,不能作为诊断及医疗依据 本网站内容部分来源转载于网络,不能作为任何法律依据!
请注意时效性,望知悉。如有违反或者侵权,请及时联系更正。