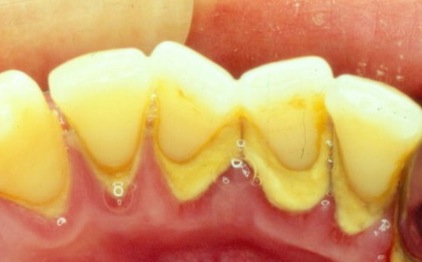
牙结石又称牙石,它是由食物残渣、坏死脱落的口腔上皮细胞及唾液中的矿物质钙化后附着在牙齿表面而形成的,呈现出黄色、棕色、或者黑色。

1.牙结石开始时是软软的,会因逐渐的钙化而变硬并呈现出黄色、棕色、或者黑色。
2.通常存在于唾液腺开口处的牙齿表面。
1、会不断刺激牙周组织,并且会压迫牙龈,影响血液循环,造成牙周组织的病菌感染,引起牙龈发炎、萎缩,形成牙周袋。
2、牙周袋形成后会进一步破坏更深的牙周膜,腐蚀和侵害牙槽骨,如此不断地恶性循环,最终使牙周支持组织全部破坏殆尽,拔牙也成为最终的选择。
通过超声波的高频震荡作用,去除牙齿上的牙结石、烟渍和茶斑,可以防止牙龈出血或者牙齿松动的情况,帮助治疗牙周炎等口腔疾病。



牙结石是怎样形成的?
刷牙可以去除牙结石吗?
去除牙结石最好的方法?
豫公网安备 41010502002633号
免责声明:本网站近期将进行改版,网站所有内容及图片不做为任何法律依据。如有违反或者侵权,请及时联系更改。
网站医疗信息仅供参考,不能作为诊断及医疗依据 本网站内容部分来源转载于网络,不能作为任何法律依据!
请注意时效性,望知悉。如有违反或者侵权,请及时联系更正。